Broncopneumopatia cronica ostruttiva
| Broncopneumopatia cronica ostruttiva | |
|---|---|
![]() | |
| Specialità | pneumologia |
| Eziologia | fumare e polvere |
| Sede colpita | Apparato respiratorio |
| Classificazione e risorse esterne (EN) | |
| ICD-9-CM | 490, 492, 494 e 496 |
| ICD-10 | J44 |
| OMIM | 606963 |
| MeSH | D029424 |
| MedlinePlus | 000091 |
| eMedicine | 807143 e 297664 |
| Sinonimi | |
| BPCO COPD COLD Pneumopatia cronica ostruttiva | |
La broncopneumopatia cronica ostruttiva (BPCO) è una patologia cronica polmonare caratterizzata da una ostruzione bronchiale, con limitazione del flusso aereo o parzialmente o per nulla reversibile, lentamente progressiva, causata da un'infiammazione cronica delle vie aeree e del parenchima polmonare. La BPCO è considerata la quarta causa di morte in Europa e negli Stati Uniti d'America (almeno 65 000 morti all'anno)[1] ed è stata caratterizzata da un aumento della mortalità a livello mondiale negli anni 2000.[2][3] I sintomi principali sono dispnea, tosse e produzione di espettorato.[4] La maggior parte delle persone affette da bronchite cronica ha BPCO.[5]
Il fumo di tabacco è la causa più comune della condizione insieme ad altri fattori, quali l'inquinamento dell'aria e la genetica, che rivestono un ruolo minore.[6] Nei paesi in via di sviluppo, una delle fonti più comuni di inquinamento atmosferico è costituita dalle cucine scarsamente ventilate e i fuochi utilizzati per il riscaldamento. L'esposizione a lungo termine a queste sostanze irritanti provoca una risposta infiammatoria nei polmoni con conseguente restringimento delle piccole vie aeree e la rottura del tessuto polmonare, una condizione conosciuta come enfisema.[7] La diagnosi si basa sulla scarsa circolazione dell'aria, misurata tramite test di funzionalità polmonare.[8] A differenza dell'asma, il volume del flusso d'aria respiratorio non aumenta in modo significativo con la somministrazione di farmaci.
In tutto il mondo, la BPCO colpisce 329 milioni di persone, quasi il 5% della popolazione mondiale. Nel maggio 2014 è classificata come la terza causa di morte, essendo responsabile di oltre 3 milioni di decessi.[9] Il numero dei morti è destinato ad aumentare per gli alti tassi di fumatori e per l'invecchiamento della popolazione riscontrabile in molti paesi.[10]
Storia

Il termine "bronchite cronica" è entrato in uso nel 1808,[11] mentre si ritiene che la dizione di "broncopneumopatia cronica ostruttiva" sia stata introdotta a partire dal 1965.[12] In precedenza la condizione era conosciuta con diverse nomenclature, tra cui: "malattia cronica ostruttiva broncopolmonare", "malattia respiratoria cronica ostruttiva", "ostruzione cronica", "limitazione cronica del flusso d'aria", "malattia polmonare cronica ostruttiva", "malattia polmonare cronica aspecifica" e "sindrome polmonare ostruttiva diffusa".
I termini "bronchite cronica" ed "enfisema" (dal greco ἐμφύσημα, emphysema[13]) sono stati formalmente definiti nel 1959, durante il simposio della CIBA e nel 1962 in occasione della riunione della commissione sulle norme diagnostiche dell'American Thoracic Society.[12]
Le prime descrizioni di probabili casi risalgono al 1679, quando T. Bonet scrisse di una condizione di "polmoni voluminosi" e nel 1769 per opera di Giovanni Battista Morgagni che annota polmoni "turgidi in particolare nell'inspirio".[12][14] Nel 1721 i primi disegni di un enfisema vennero eseguiti da Ruysh.[14] Essi furono poi, nel 1797, seguiti dalle illustrazioni di Matthew Baillie accompagnate da descrizioni della natura distruttiva della condizione. Nel 1814, Charles Badham, usò il termine "catarro" per descrivere la tosse e l'eccesso di muco nella bronchite cronica. René Laennec, il medico che inventò lo stetoscopio, utilizzò il termine "enfisema" nel suo libro A Treatise on the Diseases of the Chest and of Mediate Auscultation (1837) in cui descrisse polmoni che non collassano quando il torace viene aperto durante l'autopsia. Egli osservò che il mancato collasso era dovuto al fatto che erano pieni d'aria e che le vie respiratorie erano ostruite dal muco. Nel 1842, John Hutchinson inventò lo spirometro che permise di misurare la capacità vitale dei polmoni. Tuttavia, il suo strumento era in grado di misurare il volume e non il flusso d'aria. Tiffeneau e Pinelli, nel 1947, descrissero i principi di misurazione del flusso d'aria.[12]
Tra i vari, i primi trattamenti includevano aglio, cannella e ipecacuana.[11] Trattamenti più moderni sono stati sviluppati durante la seconda metà del XX secolo. Prove a sostegno per l'uso di steroidi nella BPCO sono stati pubblicati alla fine del 1950. I broncodilatatori sono entrati in uso nel 1960 in seguito ai promettenti risultati offerti dall'utilizzo della isoprenalina. Ulteriori broncodilatatori, come il salbutamolo, sono stati sviluppati nel 1970 e il ricorso ai beta-agonisti a lunga azione (LABA) è incominciato a metà degli anni 1990.[15]
Epidemiologia
Globalmente, a partire dal 2010, la BPCO ha colpito circa 329 milioni di persone (il 4,8% della popolazione) ed è leggermente più frequente negli uomini rispetto alle donne.[16] Si stima che nel 2004 vi fossero 64 milioni di individui colpiti dalla condizione.[17] Si ritiene che l'aumento dei casi nei paesi in via di sviluppo, riscontrato tra il 1970 e il 2000, sia correlato all'aumento in queste regioni del tabagismo, a un aumento della popolazione e al suo invecchiamento per via dei minori decessi associati ad altre cause come le malattie infettive.[6] Anche alcuni paesi sviluppati hanno visto un aumento dei casi, altri sono invece rimasti stabili e alcuni hanno sperimentato una diminuzione della prevalenza della condizione.[6] Tuttavia, a livello globale, si prevede che il numero complessivo dei casi dovrebbe aumentare se rimarranno i fattori di rischio e se la popolazione continuerà a invecchiare.[18]
Tra il 1990 e il 2010, il numero di morti per BPCO è leggermente diminuito, da 3,1 a 2,9 milioni.[19] In generale rappresenta la quarta causa di morte.[6] In alcuni paesi, la mortalità è diminuita negli uomini ma è aumentata nelle donne.[20] Ciò probabilmente si spiega ai tassi di tabagismo che sono diventati simili nei due sessi.[5] Fino al 1960, infatti, il numero delle fumatrici era considerato bassissimo, ma tale rapporto cambiò rapidamente negli anni successivi, fino alla fine del 1990 quando si stimò che più di una donna su cinque fumava regolarmente.[21] verso la fine del XX secolo, la malattia ebbe una crescita esponenziale, in sette anni la sua presenza nella sola Inghilterra è aumentata del 25% negli uomini e del 69% nelle donne.[22]
La BPCO è più comune nelle persone anziane,[4] a seconda della popolazione esaminata, colpisce infatti dai 34 ai 200 individui su 1000 di età superiore ai 65 anni.[4][23]
Si stima che in Inghilterra, su 50 milioni di persone, 0,84 milioni abbiano ricevuto una diagnosi di BPCO e ciò si traduce in circa una nuova diagnosi di BPCO ogni 59 persone. Nelle zone socio-economicamente più svantaggiate del paese, una persona su 32 viene indicata come sofferente di BPCO, rispetto a una su 98 nelle zone più ricche.[24] Negli Stati Uniti, circa il 6,3% della popolazione adulta, pari a circa 15 milioni di persone, è stata diagnosticata con BPCO.[25] Nel 2011, negli soli Stati Uniti, vi sono state circa 730 000 ospedalizzazioni dovute alla condizione.[26]
Molti sistemi sanitari lamentano difficoltà a garantire l'identificazione del caso, la diagnosi e la cura delle persone con BPCO. Il dipartimento della salute britannico, ha identificato questa situazione come una priorità e ha introdotto una strategia specifica per affrontarla.[27]
Aspetti economici
Globalmente, a partire dal 2010, si stima che la BPCO comporti costi economici per 2 100 miliardi di dollari, metà dei quali a carico dei paesi in via di sviluppo.[28] Tra questi, una cifra stimata di 1 900 miliardi di dollari sono costi diretti quali l'assistenza sanitaria, mentre 200 miliardi di dollari sono costi indiretti, come quelli relativi alla perdita del lavoro.[29] Queste cifre dovrebbero più che raddoppiare nei prossimi 20 anni.[28] In Europa, la BPCO rappresenta il 3% della spesa sanitaria complessiva.[4] Negli Stati Uniti, i costi della malattia sono stimati in 50 miliardi di dollari, la maggior parte dei quali dovuti alle riacutizzazioni.[4] Nel 2011, la BPCO risultava essere tra le condizioni più costose affrontate negli ospedali degli Stati Uniti, con un costo complessivo di circa 5,7 miliardi di dollari.[26]
Eziologia
All'origine della malattia vi è un processo infiammatorio di carattere cronico che perdura per anni e che interessa le vie respiratorie del paziente. Ciò comporta una graduale perdita della funzionalità dei polmoni con una disfunzione non completamente reversibile anche se viene trattata.[30]
La causa principale della BPCO è il fumo di tabacco, mentre l'esposizione professionale e l'inquinamento da incendi possono essere cause significative in alcuni paesi.[4] In genere, queste esposizioni avvengono diversi decenni prima che i sintomi si manifestino.[4] Il corredo genetico di una persona può altresì influire sul rischio.[4]
Fumo


Il principale fattore di rischio a livello mondiale per la BPCO è il fumo di tabacco.[4] Circa il 20% di coloro che fumano andrà incontro a questa condizione,[32] mentre tra coloro che hanno fumato permanentemente circa la metá ne soffrirà.[33] Negli Stati Uniti e nel Regno Unito, tra coloro che convivono con tale condizione, tra l'80% e il 95% sono fumatori o lo sono stati.[32][34][35] La probabilità di sviluppare la BPCO aumenta con il numero di sigarette fumate.[36] Inoltre, le donne risultano essere più suscettibili agli effetti nocivi del fumo rispetto agli uomini.[35] Nei non fumatori, il fumo passivo è causa di circa il 20% dei casi.[36] Anche fumare la marijuana, il sigaro e la pipa può aumentare il rischio.[4] Le donne che fumano durante la gravidanza possono causare un aumento del rischio di BPCO nel loro bambino.[4]
Inquinamento atmosferico
Fuochi di cottura in luoghi scarsamente ventilati, spesso alimentati a carbone o a biomasse, come legno e sterco animale, portano all'inquinamento dell'aria e sono una delle cause più comuni della BPCO nei paesi in via di sviluppo.[37] Questi fuochi sono il metodo di cottura e riscaldamento utilizzato da quasi 3 miliardi di persone e i loro effetti negativi sulla salute si ripercuotono maggiormente tra le donne a causa della loro maggior esposizione.[4][37] Essi sono utilizzati come principale fonte di energia nell'80% delle case in India, in Cina e in Africa sub-sahariana.[38]
Le persone che vivono nelle grandi città presentano un più alto tasso di BPCO, rispetto a coloro che vivono nelle zone rurali.[39] Mentre l'inquinamento atmosferico urbano è un fattore che contribuisce alle riacutizzazioni, il suo ruolo globale come causa della BPCO non è chiaro.[4] Zone con cattiva qualità dell'aria presentano in genere tassi più alti di BPCO tra i propri residenti.[38] L'effetto complessivo, in comparazione con il fumo, si ritiene che sia comunque inferiore.[4]
Esposizioni professionali

L'esposizione intensa e prolungata alle polveri, agli agenti chimici e ai fumi, aumenta il rischio di BPCO sia nei fumatori sia nei non fumatori.[40] Le esposizioni sul posto di lavoro sono ritenute essere la causa del 10-20% dei casi.[41] Negli Stati Uniti si ritiene che queste cause possano essere correlate a più del 30% dei casi tra coloro che non hanno mai fumato e, probabilmente, rappresentano un rischio maggiore nei paesi sprovvisti di sufficienti regole in materia.[4]
Un certo numero di tipologie di industrie e di attività sono responsabili, tra cui gli elevati livelli di polvere riscontrabili nelle miniere di carbone, nelle miniere d'oro e nell'industria tessile del cotone, le attività che comportano l'esposizione a cadmio e isocianati e ai fumi di saldatura.[40] Anche l'attività agricola comporta dei rischi.[38] Per alcune professioni i rischi sono stati stimati equivalenti a quelli di fumare da mezzo pacchetto a due pacchetti di sigarette al giorno.[42] L'esposizione alla polvere di silicio può anche portare alla BPCO, con il rischio correlato a quello per la silicosi.[43] Gli effetti negativi dell'esposizione a polvere e dell'esposizione al fumo di sigaretta sembrano essere additivi o forse più che additivi.[42]
Genetica
La genetica gioca un ruolo importante nello sviluppo della BPCO.[4] La condizione risulta infatti essere più comune tra i parenti delle persone con BPCO che fumano, rispetto ai fumatori senza familiarità.[4] L'unico fattore di rischio ereditario conosciuto è legato al deficit di alfa 1-antitripsina (AATD).[44] Il deficit è responsabile di circa tra l'1% e il 5% dei casi[44][45] e la condizione è presente in circa 3-4 individui su 10 000.[5] Ulteriori fattori genetici sono oggetto di indagine[44] e si ritiene che molti altri possano essere correlabili alla malattia.[38]
Altri fattori
Un certo numero di altri fattori sono meno strettamente legati alla BPCO. Il rischio è maggiore in chi vive in povertà, sebbene non sia chiaro se ciò sia dovuto alla stessa povertà e alla conseguente carente prevenzione o a fattori a essa associati, come l'inquinamento dell'aria e la malnutrizione.[4] Non vi è evidenza sperimentale che gli individui affetti da asma e iperreattività bronchiale siano più a rischio di BPCO.[4] Fattori correlati alla nascita, come un peso inferiore alla media, possono anche svolgere un ruolo, come anche alcune malattie infettive come l'HIV/AIDS e la tubercolosi.[4] Infezioni respiratorie come la polmonite non sembrano aumentare il rischio di BPCO, almeno negli adulti.[5]
Patogenesi
Figura B: rappresentazione di polmoni danneggiati dalla BPCO; nel riquadro l'ingrandimento mostra bronchioli e alveoli danneggiati.
La broncopneumopatia cronica ostruttiva è un tipo di malattia polmonare ostruttiva in cui vi è una cronica e non reversibile limitazione del flusso d'aria nei polmoni e l'incapacità di espirare completamente.[6] La scarsità del flusso d'aria è il risultato della rottura del tessuto polmonare (noto come enfisema) e la relativa malattia delle vie aeree è chiamata bronchiolite ostruttiva. I contributi di questi due fattori alla condizione variano tra gli individui.[4] Alcune persone accusano anche un certo grado di ipersuscettibilità delle vie aeree a sostanze irritanti simile a quello che si riscontra nell'asma.[5]
La BPCO si sviluppa come una significativa risposta infiammatoria cronica agli agenti irritanti inalati.[4] Inoltre, possono anche aggiungersi infezioni batteriche croniche.[46] Le cellule responsabili della risposta infiammatoria coinvolte sono i granulociti neutrofili e i macrofagi, due tipi di globuli bianchi. Coloro che fumano presentano inoltre il coinvolgimento dei linfociti T citotossici e altri ancora di eosinofili similmente ai casi di asma. Parte di questa risposta cellulare è causata da mediatori infiammatori come i fattori chemiotattici. Altri processi coinvolti e che comportano un danno polmonare includono lo stress ossidativo dovuto alle alte concentrazioni di radicali liberi nel fumo di tabacco e rilasciati dalle cellule infiammatorie e la rottura del tessuto connettivo dei polmoni dovuto a proteasi che è insufficientemente inibita dagli inibitori. Tale distruzione porta a sviluppare enfisema che poi contribuisce allo scarso scambio dei gas attraverso il respiro.[4] L'atrofia muscolare generalizzata, che spesso accompagna la BPCO, può essere dovuta in parte ai mediatori infiammatori rilasciati dai polmoni nel sangue.[4]

Il restringimento delle vie aeree che si verifica a causa dell'infiammazione e dell'instaurarsi di cicatrici al loro interno, porta all'incapacità di respirare a pieni polmoni: la maggior riduzione del flusso d'aria si verifica quando vi è un espiro, cioè quando la pressione del torace comprime le vie aeree.[47] Ciò può comportare la presenza di un quantitativo eccessivo di aria residua nei polmoni al momento di compiere il respiro successivo, con il risultato di avere un aumento del volume totale di aria nei polmoni: un processo chiamato iperinalazione.[47][48] L'iperinalazione da sforzo è correlata alla mancanza di respiro essendo facile respirare quando i polmoni sono già parzialmente pieni d'aria.[49]
Bassi livelli di ossigeno e, infine, elevati livelli di anidride carbonica nel sangue, possono instaurarsi a causa di un cattivo scambio di gas dovuto alla ridotta ventilazione dovuta, a sua volta, dall'ostruzione delle vie aeree, dall'iperinalazione e da un ridotto desiderio di respirare.[4] Durante le riacutizzazioni, l'infiammazione delle vie aeree aumenta, con conseguente aumento dell'iperinalazione, ridotto flusso espiratorio e peggioramento del trasferimento dei gas. Questo può anche portare a dispnea e, infine, a bassi livelli di ossigeno nel sangue (ipossia).[7] I bassi livelli di ossigeno, se presenti per un periodo prolungato, possono causare il restringimento delle arterie nei polmoni, mentre l'enfisema porta alla rottura dei capillari. Entrambe queste situazioni causano un aumento della pressione sanguigna nelle arterie polmonari, che possono evolvere in una condizione conosciuta come "cuore polmonare".[4]
Clinica
La diagnosi di BPCO dovrebbe essere presa in considerazione in ogni persona, di età superiore a 35-40 anni, che lamenta mancanza di respiro, tosse cronica, espettorazione, raffreddori invernali frequenti e una storia di esposizione a fattori di rischio per la malattia.[50][51] Per la conferma della diagnosi, viene utilizzato principalmente l'esame spirometrico.[50][52]
Segni e sintomi

I sintomi più comuni della BPCO sono la produzione di espettorato, mancanza di respiro e tosse produttiva.[50] Questi sintomi si presentano per un periodo prolungato[5] e di solito peggiorano nel tempo.[50] Non è chiaro se esistono diversi tipi di BPCO[6] anche se storicamente si tendeva a suddividere in enfisema e bronchite cronica. Tuttavia, l'enfisema è solo una descrizione dei cambiamenti polmonari piuttosto che una malattia in sé e la bronchite cronica è semplicemente un descrittore dei sintomi che possono o non possono verificarsi nella BPCO.[4]
A un paziente affetto da BPCO può essere necessario più tempo per compiere l'espiro che per l'inspiro.[53] Si può percepire un senso di oppressione toracica,[50] ma non è comune e può essere causato anche da altre patologie.[51] Le persone con ostruzione al flusso d'aria possono avere un respiro sibilante o i suoni inspiratori possono risultare diminuiti all'esame del torace con uno stetoscopio.[53] La presenza di un torace a botte è un segno caratteristico della BPCO, ma è relativamente raro.[53]
Tosse
Solitamente, il primo sintomo che si verifica è la presenza di una tosse cronica. Quando essa persiste per più di tre mesi all'anno e per più di due anni, in combinazione con la produzione di espettorato e senza che vi sia un'altra spiegazione, per definizione vi è la presenza di una bronchite cronica. Questa condizione può verificarsi prima che la BPCO si sviluppi completamente. La quantità di espettorato prodotto può cambiare nel corso della giornata. In alcuni casi la tosse può non essere presente o si verifica solo occasionalmente e può essere non produttiva. Alcune persone con BPCO descrivono i sintomi di una "tosse da fumatore". L'espettorato può essere ingerito o sputato fuori, spesso a seconda dei fattori sociali e culturali. Una tosse molto forte può portare a fratture costali o a una breve perdita di coscienza. Coloro che presentano BPCO hanno spesso una storia di "raffreddori comuni" che durano a lungo.[50]
Dispnea
La dispnea, cioè la sensazione di mancanza di respiro, è spesso il sintomo più fastidioso.[51] Viene comunemente descritto come: "una respirazione che richiede uno sforzo", "sentirsi a corto di fiato" o "non riuscire a ottenere abbastanza aria".[54] In genere la mancanza di respiro è peggiore quando si è sotto sforzo e peggiora nel tempo.[50] Negli stadi avanzati si verifica anche durante il riposo e può essere presente costantemente.[55][56] Si tratta di una fonte di ansia per il paziente e comporta una scarsa qualità della vita.[50] Molte persone con BPCO avanzato respirano attraverso le labbra serrate e ciò per alcuni può migliorare i sintomi della dispnea.[57][58]
Altri segni
La BPCO avanzata conduce a un aumento di pressione nelle arterie polmonari.[7][59][60] Questa situazione viene indicata come cuore polmonare e porta a segni clinici come il gonfiore delle gambe[50] e la sporgenza delle vene del collo.[7] La BPCO è più comune di qualsiasi altra malattia polmonare come causa di cuore polmonare.[59] La presenza di questa condizione è diventata tuttavia meno comune da quando si ricorre all'ossigenoterapia.[5]
La BPCO si verifica spesso insieme a un certo numero di altre condizioni dovute in parte a fattori di rischio comuni.[6] Queste condizioni includono: cardiopatia ischemica, ipertensione arteriosa, diabete mellito, atrofia muscolare, osteoporosi, cancro del polmone, disturbi d'ansia e depressione.[6] In coloro che accusano una grave malattia è comune la sensazione di affaticamento.[50] La presenza di dita ippocratiche non è un segno specifico per la BPCO e deve indurre a compiere delle indagini per verificare l'eventuale presenza di un tumore al polmone sottostante.[61]
Esami di laboratorio e strumentali
Gli esami utili alla diagnosi e all'indice prognostico di mortalità sono:
- Spirometria
- Saturazione arteriosa; se inferiore al 94% è utile eseguire:
- Emogasanalisi
- 6 Minutes Walking Test
- Calcolo dell'indice di massa corporea (BMI)
- Calcolo del grado di dispnea
La misurazione del picco di flusso espiratorio, comunemente utilizzata nell'asma, non è sufficiente per la diagnosi di BPCO.[51]
Spirometria
Le valutazioni spirometriche vengono effettuate allo scopo di stimare il grado di ostruzione delle vie aeree; generalmente seguono l'assunzione di un broncodilatatore, cioè un farmaco in grado di dilatare le vie aeree.[52]
Per raggiungere una diagnosi vengono indagate due componenti principali: il volume espiratorio forzato in un secondo (VEMS o FEV1), che è il massimo volume di aria emesso nel primo secondo di un'espirazione forzata, e la capacità vitale forzata (FVC), il massimo volume d'aria che può essere emesso con un unico grande respiro.[62]
Normalmente, nel primo secondo si espira tra il 75% e l'80% della FVC;[62] in un individuo che presenta sintomi di BPCO, un rapporto FEV1/FVC (chiamato "indice di Tiffeneau") inferiore al 70% è indice di malattia;[52] inoltre il National Institute for Health and Care Excellence richiede anche che la FEV1 sia inferiore all'80% del normale.[51] Bisogna però anche tenere conto che sulla base di questi soli parametri, nei soggetti anziani la spirometria porterebbe a un eccesso di diagnosi di BPCO.[52]
La misurazione spirometrica viene ripetuta, dopo la somministrazione di 400 µg di β2 agonista (un broncodilatatore), a distanza di 40 minuti.
- Se non migliorano i risultati, ma solo la sintomatologia, è possibile la diagnosi di BPCO: indice di Tiffeneau (FEV1/FVC) ridotto.
- Un incremento di FEV1 di 200 ml o del 12%, rispetto al valore pre-broncodilatatore, è considerato un indice prognostico favorevole.
- Se il valore di FEV1 torna nella norma, si esclude diagnosi di BPCO: è verosimile una diagnosi di asma.
Non vi è una evidenza certa che consigli di utilizzare la spirometria, nel tentativo di diagnosticare la malattia, in coloro che non presentano sintomi; pertanto tale pratica non è raccomandata.[50][52]
Altri esami
Una radiografia del torace e un esame emocromocitometrico completo possono essere utili per escludere altre condizioni patologiche presenti al momento della diagnosi.[51]
I segni caratteristici alla radiografia sono polmoni iper-espansi, diaframma appiattito, aumento dello spazio aereo retrosternale e la presenza di bolle. La presenza di tali segni può aiutare a escludere altre malattie polmonari, come la polmonite, l'edema polmonare o uno pneumotorace.[23]
Nella tomografia computerizzata ad alta risoluzione del torace si possono notare le localizzazioni dell'enfisema nei polmoni e ciò può essere utile per escludere altre malattie polmonari.[5] Tuttavia, se non è previsto l'intervento chirurgico, tale segno raramente può influenzare il trattamento.[5]
Un'analisi del sangue arterioso viene richiesta per determinare l'eventuale necessità di ossigeno supplementare. Questo esame è consigliato in coloro che presentano una FEV1 inferiore al 35% del normale, in coloro che presentano una saturazione arteriosa periferica inferiore al 92% e in coloro che hanno sintomi di insufficienza cardiaca congestizia.[50] Nelle zone del mondo in cui è comune il deficit di alfa 1-antitripsina, si consiglia di effettuare questo esame a chi soffre di BPCO (in particolare in coloro con una età inferiore ai 45 anni e con un enfisema che interessa le porzioni inferiori dei polmoni).[50]
-
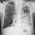
Radiografia del torace che mostra una severa BPCO. Si notino le ridotte dimensioni del cuore in confronto a quelle dei polmoni.
-
Radiografia laterale del torace di una persona con enfisema. Si notino il torace a botte e il diaframma piatto.
-
Radiografia che mostra una bolla polmonare in un paziente con enfisema
-
Grave caso di enfisema bolloso -
Immagine sul piano assiale di una persona con un enfisema bolloso allo stadio finale.
Diagnosi differenziale
È necessario operare una diagnosi differenziale di BPCO da altre possibili cause di dispnea, come l'insufficienza cardiaca, l'embolia polmonare, la polmonite o il pneumotorace.[63]
Molte persone con BPCO erroneamente pensano di soffrire di asma[53] sebbene le due condizioni possano, in alcuni soggetti, coesistere;[64] la distinzione tra asma e BPCO, tuttavia, non sempre può essere effettuata tramite la sola spirometria.[51]
La tubercolosi può anche presentarsi con una tosse cronica, e dovrebbe essere presa in considerazione nei luoghi dove è comune.[50]
Condizioni meno comuni che si possono presentare in modo simile, includono displasia broncopolmonare e la bronchiolite obliterante.[51]
La bronchite cronica può verificarsi con un normale flusso d'aria e questa situazione non è classificata come BPCO.[5]
Stadiazione clinica della gravità
| Grado | Attività |
|---|---|
| 1 | Solo le attività più faticose |
| 2 | Camminata vigorosa |
| 3 | Camminando normalmente |
| 4 | Solo pochi minuti di camminata |
| 5 | Cambiando il passo |
| Gravità | FEV1 % |
|---|---|
| Media (GOLD 1) | ≥80 |
| Moderata (GOLD 2) | 50–79 |
| Grave (GOLD 3) | 30–49 |
| Molto grave (GOLD 4) | <30 o insufficienza respiratoria |
Per determinare quanto la BPCO colpisca un dato individuo esistono una serie di metodi.[50]
La scala MRC modificata e il test di valutazione BPCO (CAT) sono semplici questionari, che possono essere utilizzati per determinare la gravità della sintomi.[50] I punteggi del CAT vanno da 0 a 40, con il punteggio più alto che corrisponde a una condizione più grave.[65]
La spirometria può aiutare a determinare la gravità della limitazione del flusso di aria.[50] Ciò si basa tipicamente sul FEV1 espresso come una percentuale del valore considerato "normale" per l'età della persona, per il sesso, per l'altezza e il peso.[50]
Entrambe le linee guida statunitense ed europea sul trattamento della patologia si basano sul valore del FEV1.[52] Le linee guida GOLD dividono i pazienti in quattro categorie, sulla base della valutazione dei sintomi e sulla limitazione del flusso d'aria.[50]
Anche la perdita di peso e la debolezza muscolare, nonché la presenza di altre malattie, dovrebbero essere prese in considerazione.[50]
Le riacutizzazioni
Una riacutizzazione della BPCO è definita come l'aumento della dispnea, l'aumento della espettorazione, un cambiamento del colore dell'espettorato da chiaro a verde o giallo o un aumento della tosse, in un paziente affetto da BPCO,[53] in generale quindi come un improvviso peggioramento dei sintomi.[66]
Ciò può presentarsi con segni di un aumentato lavoro respiratorio, come la tachipnea, un ritmo cardiaco accelerato (tachicardia), sudorazione, utilizzo attivo dei muscoli del collo, ipercapnia,[67] un colorito della pelle bluastro (cianosi) e confusione mentale nei casi di riacutizzazione più gravi.[53][68] Possono essere anche ascoltati, tramite uno stetoscopio, dei crepitii nei polmoni.[69]
Una riacutizzazione si verifica comunemente in seguito a infezioni, all'esposizione a inquinanti ambientali o per mezzo di altri fattori quali l'uso improprio di farmaci.[70] Le infezioni sembrano essere la causa del 50%-75% dei casi,[70][71] con i batteri responsabili nel 25% delle riacutizzazioni, i virus nel 25% ed entrambi sempre nel 25%.[72]
Gli inquinanti ambientali comprendono una scarsa qualità dell'aria sia esterna sia interna.[70] L'esposizione al fumo, sia attivo sia passivo, aumenta il rischio.[38] Anche le temperature più fredde possono svolgere un ruolo, con le riacutizzazioni che si verificano più comunemente in inverno.[73] Quelli che soffrono di una condizione di base più grave hanno riacutizzazioni più frequenti. Nei casi lievi, si stimano 1,8 riacutizzazioni all'anno, da 2 a 3 nei casi moderati e 3,4 nelle situazioni più gravi.[74] coloro che sperimentano molteplici riacutizzazioni, hanno un tasso più veloce di deterioramento della loro funzione polmonare.[46] L'embolia polmonare (coaguli di sangue nei polmoni) può peggiorare i sintomi nei pazienti con BPCO preesistente.[5]
Trattamento
Non esiste una cura nota per la BPCO, ma i sintomi sono trattabili e la sua progressione può essere ritardata.[18] I principali obiettivi della gestione sono comunque finalizzati a ridurre i fattori di rischio, a stabilizzare la condizione, a prevenire e trattare le riacutizzazioni e gestire le malattie associate.[7] Le uniche misure che hanno dimostrato di ridurre la mortalità sono la sospensione dal fumo e l'assunzione d'ossigeno.[75] L'astinenza dal fumo diminuisce il rischio di morte del 18%.[6] Altre raccomandazioni includono: vaccinazione annuale contro l'influenza, la vaccinazione pneumococcica una volta ogni 5 anni e riduzione all'esposizione all'inquinamento atmosferico ambientale.[6] In coloro che presentano una condizione di malattia avanzata, le cure palliative possono ridurre i sintomi, con la morfina in grado di alleviare la sensazione di mancanza di respiro.[76] La ventilazione non invasiva può essere utilizzata come supporto per la respirazione.[76] Essere o sottopeso o sovrappeso può influire sui sintomi, sul grado di disabilità e sulla prognosi della malattia. Le persone con BPCO che sono sottopeso possono migliorare la loro forza respiratoria aumentando l'apporto calorico.[7] Quando ciò viene combinato con un regolare esercizio fisico o un programma di riabilitazione respiratoria, può portare a miglioramenti nei sintomi della malattia. Una nutrizione supplementare può essere utile in coloro che sono malnutriti.[77]
Riabilitazione respiratoria
La riabilitazione respiratoria seguita da un fisioterapista specializzato ha come obiettivo il miglioramento della tolleranza allo sforzo attraverso programmi di esercizio fisico aerobico e potenziamento muscolare. Attività di consulenza e di gestione della malattia, coordinate da un team multidisciplinare, può portare beneficio al paziente.[79] In coloro che hanno accusato una recente riacutizzazione, la riabilitazione respiratoria sembra essere in grado di migliorare la qualità complessiva della vita, di aumentare la capacità di svolgere attività e di ridurre la mortalità.[80] È stato anche dimostrato il miglioramento del controllo del paziente sulla malattia, così come sulle proprie emozioni.[81] I soli esercizi di respirazione individuali sembrano non avere una efficacia rilevante[58].
I programmi di riabilitazione respiratoria prevedono[78]:
- allenamento all'esercizio fisico aerobico;
- allenamento alla forza muscolare;
- educazione alla corretta assunzione della terapia inalatoria;
- disostruzione bronchiale;
- titolazione dell'ossigenoterapia domiciliare sotto sforzo;
- adattamento alla Ventilazione Non Invasiva (NIV).
Trattamento farmacologico
Broncodilatatori
Broncodilatatori per via inalatoria sono i farmaci maggiormente utilizzati[6] e portano a leggeri benefici complessivi.[82] Vi sono due tipologie principali: gli agonisti β2 e gli anticolinergici; entrambi esistono sia in forma a lunga che a breve durata d'azione. Il loro utilizzo riduce la mancanza di respiro, limita il respiro sibilante e rende più facile compiere attività, migliorando conseguentemente la qualità della vita.[83] Non è chiaro se vi sia anche un cambiamento nel decorso della malattia di base.[6]
In quelli che presentano una malattia lieve, farmaci a breve durata d'azione sono raccomandati in base alle necessità.[6] In quelli con una condizione più grave si raccomandano invece agenti a lunga durata.[6] Se i broncodilatatori a lunga durata appaiono insufficienti, vengono aggiunti anche corticosteroidi sempre per via inalatoria.[6] Per quanto riguarda gli agenti a lunga durata d'azione non è chiaro se il tiotropio (un anticolinergico a lunga azione) o i beta-agonisti a lunga azione (LABA) portino a risultati migliori e può essere indicato provarli entrambi per capire quelli che funzionano meglio.[84] Entrambi gli agenti sembrano ridurre il rischio di riacutizzazioni del 15-25%.[6]

Vi sono diversi β2 agonisti a breve azione disponibili, tra cui il salbutamolo (Ventolin) e la terbutalina.[85] Essi forniscono un sollievo dai sintomi per 4-6 ore.[85] β2 agonisti a lunga durata, come il salmeterolo e il formoterolo, sono spesso usati come terapia di mantenimento. Alcuni ritengono che i benefici dal loro utilizzo siano limitati,[86] mentre altri sostengono il contrario.[87][88] L'uso a lungo termine appare sicuro nella BPCO[89] e gli effetti collaterali includono tremori e palpitazioni.[6] Quando vengono utilizzati insieme a steroidi inalatori aumentano il rischio di polmonite.[6] Sebbene gli steroidi e i LABA possano lavorare meglio insieme,[86] non è chiaro se questo leggero vantaggio superi i maggiori rischi.[90]
Ci sono due anticolinergici principali utilizzati nella BPCO, l'ipratropio e il tiotropio. L'ipratropio è un agente a breve durata d'azione, mentre il tiotropio a lunga. Quest'ultimo è associato a una diminuzione delle riacutizzazioni e una migliore qualità della vita[91], ma non sembra influenzare la mortalità e il tasso di ospedalizzazione.[92] Gli anticolinergici possono causare secchezza alla bocca e sintomi del tratto urinario.[6] Essi sono anche associati a un aumentato del rischio di malattie cardiache e ictus.[93][94]
Corticosteroidi
I corticosteroidi vengono di solito utilizzati in forma inalatoria, ma possono essere trovati anche come compresse per trattare e prevenire le riacutizzazioni. Mentre i corticosteroidi per via inalatoria (ICS) non hanno mostrato benefici per le persone con BPCO lieve, si è dimostrato che sono in grado di diminuire il numero di riacutizzazioni nella patologia moderata o grave.[95] Quando utilizzati in combinazione con un LABA, diminuiscono la mortalità più di degli ICS e dei LABA assunti da soli.[96] Presi singolarmente non hanno alcun effetto sulla mortalità complessiva a un anno e sono associati a un aumento dei tassi di polmonite.[75] Non è chiaro se essi influenzino la progressione della malattia.[6] Il trattamento a lungo termine con steroidi in compresse è associato a significativi effetti collaterali.[85]
Altri farmaci

Antibiotici a lungo termine, in particolare quelli appartenenti alla famiglia dei macrolidi, come l'eritromicina, riducono la frequenza delle riacutizzazioni in coloro che ne hanno più di due all'anno.[97][98] Questa pratica può essere conveniente in alcune aree del mondo.[99] Tuttavia destano alcune preoccupazioni riguardo alla resistenza agli antibiotici e ai problemi all'udito, dovuto alla somministrazioni di antibiotici con azitromicina.[98] Le metilxantine, come la teofillina, generalmente causano più danni che benefici e quindi solitamente non sono raccomandati,[100] ma possono essere usati come agente di seconda linea in quelli che hanno alcun beneficio con gli altri farmaci.[7] Mucolitici possono essere utili nelle persone che hanno una mucosa spessa, ma generalmente non sono necessari.[101] I farmaci antitosse sono sconsigliati.[85]
Ossigenoterapia
La somministrazione di ossigeno supplementare è raccomandato nei soggetti con bassi livelli di ossigeno a riposo (pressione parziale di ossigeno inferiore a 50-55 mmHg o saturazione arteriosa inferiore all'88%).[85][102] In questo gruppo di persone diminuisce il rischio di insufficienza cardiaca e di morte se utilizzato per 15 ore al giorno.[85][102][103] In persone con livelli normali o lievemente bassi di ossigeno, può essere necessario valutare il livello di saturazione sotto sforzo, a esempio col test del cammino 6 minuti; in tal caso la supplementazione di ossigeno può migliorare la dispnea e migliorare la capacità di esercizio.[104]
Vi è il rischio d'incendi e di scarsi benefici in coloro che continuano a fumare nonostante la condizione.[105] In questa situazione spesso si sconsiglia l'ossigeno.[106]
Durante le riacutizzazioni è importante non somministrare alte concentrazioni di ossigeno senza tenere conto dei valori di saturazione sanguigna, poiché ciò può portare a un aumento dei livelli di anidride carbonica, peggiorando la prognosi.[107][108] In coloro che sono ad alto rischio di livelli di biossido di carbonio, una saturazione di ossigeno tra l'88% e il 92% è raccomandata, mentre per coloro senza questo rischio i livelli corretti dovrebbero essere tra il 94% e il 98%.[108]
Trattamento chirurgico
In coloro che presentano una condizione estremamente grave, è possibile prendere in considerazione la chirurgia e questa può includere un trapianto polmonare o la riduzione del volume polmonare.[6] La chirurgia di riduzione del volume polmonare consiste nel rimuovere le parti del polmone più danneggiate da enfisema permettendo alla porzione restante di espandersi relativamente meglio.[85] Il trapianto polmonare è talvolta eseguita per casi di BPCO molto severa e soprattutto negli individui più giovani.[85]
Gestione delle riacutizzazioni
Le riacutizzazioni sono tipicamente trattate aumentando l'uso dei broncodilatatori a breve durata d'azione.[66] Ciò include generalmente una combinazione di un agonista a breve durata d'azione per via inalatoria e un beta anticolinergici.[66] Questi farmaci possono essere somministrati sia tramite un inalatore predosato con un distanziatore sia tramite un nebulizzatore; entrambi i sistemi appaiono ugualmente efficaci.[66] Le nebulizzazione risultano più semplici per coloro che accusano una condizione non particolarmente grave.[66]
I corticosteroidi orali migliorano la possibilità di recupero e riducono la durata complessiva dei sintomi.[6][66] In coloro che sperimentano una grave forma di riacutizzazione, l'assunzione di antibiotici migliora i risultati.[109] Un certo numero di differenti antibiotici può essere usato, come: l'amoxicillina, la doxiciclina o l'azitromicina, ma non è chiaro se uno è migliore degli altri[101]. Non vi è alcuna chiara evidenza che suggerisca il loro uso in coloro che hanno una forma più lieve.[109]
La ventilazione artificiale a pressione positiva non invasiva in coloro con livelli di CO2 in rilievo (insufficienza respiratoria di tipo 2) diminuisce la probabilità di morte o la necessità di ricovero in terapia intensiva.[66] Inoltre la teofillina può avere un ruolo in coloro che non rispondono ad altre terapie.[66] Meno del 20% delle riacutizzazioni richiedono il ricovero ospedaliero.[66] In coloro che non presentano acidosi da insufficienza respiratoria, l'assistenza domiciliare può essere in grado di evitare il ricovero.[66][110]
Prognosi

nessun dato
meno di 110
110-220
220-330
330-440
440-550
550-660
660-770
770-880
880-990
990-1100
1100-1350
più di 1350
La BPCO solitamente peggiora nel tempo e, in ultima analisi, può portare alla morte. Si stima che il 3% di tutte le disabilità siano legate alla BPCO.[112] La sopravvivenza a 10 anni dall'insorgenza è del 40%.[113]
La percentuale d'invalidità da BPCO a livello mondiale è diminuita tra il 1990 e il 2010, grazie al miglioramento della qualità dell'aria all'interno delle abitazioni, principalmente per quanto riguarda l'Asia;[112] il numero complessivo di anni vissuti con disabilità da BPCO, tuttavia, è aumentato.[16]
La velocità con cui la condizione peggiora varia a seconda della presenza di fattori negativi, quali una grave ostruzione del flusso d'aria, la scarsa capacità di compiere sforzi, la mancanza di respiro, un significativo sottopeso o sovrappeso (una importante perdita di peso è un indice molto negativo[5]), la presenza di insufficienza cardiaca congestizia, il continuare a fumare e il verificarsi di frequenti riacutizzazioni.[7]
Gli esiti a lungo termine nella BPCO possono essere stimati utilizzando l'indice BODE (o BODE index), che fornisce un punteggio da 0 a 10 a seconda dei valori di FEV1, dell'indice di massa corporea, della distanza percorsa in sei minuti e tramite la scala della dispnea MRC.[114]
I risultati della spirometria possono essere un buon indice predittivo per la prognosi della malattia, ma mai quanto l'indice BODE.[5][51]
Prevenzione
La maggior parte dei casi di BPCO sono potenzialmente prevenibili attraverso una riduzione dell'esposizione al fumo e al miglioramento della qualità dell'aria.[38] Le vaccinazioni antinfluenzali annuali in coloro che soffrono di BPCO riducono le probabilità delle riacutizzazioni, di incorrere in ospedalizzazioni e di decesso.[101][115] Anche la vaccinazione contro lo pneumococco può essere utile.[101]
Politiche contro il fumo
Evitare che le persone incomincino a fumare è un aspetto fondamentale della prevenzione della BPCO.[18] Le politiche dei governi, delle agenzie di sanità pubblica e delle organizzazioni anti-fumo possono ridurre i tassi di tabagismo scoraggiando le persone da incominciare o motivandole a smettere.[116] I divieti di fumo nelle aree pubbliche e nei luoghi di lavoro sono importanti misure per ridurre l'esposizione al fumo passivo.[38]
Per chi fuma, smettere di farlo è l'unica misura dimostrata in grado di rallentare il decorso della BPCO.[117] Anche in una fase avanzata della malattia si può ridurre il progressivo peggioramento della funzione polmonare e ritardare l'insorgenza di ulteriori disabilità e della morte.[38] Spesso sono necessari vari tentativi prima di raggiungere una completa astinenza dal fumo.[116] Tentativi protratti per oltre cinque anni portano al successo in quasi il 40% delle persone.[118]
Alcuni fumatori possono smettere attraverso la sola forza di volontà. Fumare, tuttavia, è molto coinvolgente[119] e molti fumatori necessitano di un aiuto. La probabilità di riuscire a smettere aumenta grazie al supporto sociale, all'impegno in un programma e grazie all'uso di farmaci, come la terapia sostitutiva della nicotina basata sul bupropione o sulla vareniclina.[116][118]
Salute sul lavoro
Una serie di misure sono state adottate per ridurre la probabilità che i lavoratori dei settori a rischio, come quelli impiegati nelle miniere di carbone, dell'edilizia e nella lavorazione della pietra, sviluppino BPCO.[38] Esempi di tali misure includono: creazione di una sorveglianza pubblica,[38] formazione dei lavoratori e gestione dei rischi, promozione della cessazione del fumo di tabacco, screening dei lavoratori ai primi segni di BPCO, utilizzo di respiratori e controllo delle polveri.[120][121] Quest'ultimo può essere ottenuto migliorando la ventilazione, utilizzando spruzzi d'acqua e tecnologie impiantistiche che ne riducano la produzione.[122] Se un lavoratore sviluppa BPCO ulteriori danni ai polmoni possono essere ridotti, per esempio, cambiandone il ruolo nel lavoro.[123]
Inquinamento atmosferico
Sia la qualità dell'aria interna sia quella esterna possono essere migliorate e ciò può impedire lo sviluppo della BPCO o rallentare il peggioramento in una condizione già esistente.[38] Questo può essere ottenuto mediate interventi di politica pubblica, con cambiamenti culturali e grazie al coinvolgimento personale.[124]
Un certo numero di paesi sviluppati hanno potuto migliorare con successo la qualità dell'aria esterna attraverso l'adozione di regolamenti. Ciò ha portato a miglioramenti della funzione polmonare della loro popolazione.[38] Se le persone affette da BPCO rimangono in casa nei giorni in cui l'aria esterna è di scarsa qualità, i sintomi ne possono trarre un beneficio.[7]
Un impegno fondamentale è quello di ridurre l'esposizione al fumo prodotto dalla cottura degli alimenti e dal riscaldamento attraverso una migliore ventilazione delle abitazioni o ricorrendo all'utilizzo di stufe e camini più efficienti.[124] L'utilizzo di fonti energetiche alternative, come la cucina solare e il riscaldamento elettrico, sono misure efficaci, come utilizzare combustibili come il kerosene o il carbone, piuttosto che la biomassa.[38]
Ricerca
Per il trattamento della BPCO è stato testato l'infliximab, un anticorpo immunosoppressore, tuttavia la sperimentazione ha evidenziato la possibilità di produrre dei danni, senza peraltro trarre alcun beneficio.[125] Il roflumilast si è dimostrato promettente nel ridurre i tassi di riacutizzazione, ma non sembra cambiare la qualità di vita dei pazienti.[6]
Sono inoltre in fase di sviluppo anche un certo numero di nuovi agenti a lunga durata d'azione.[6]
Altri animali
Anche in alcuni animali possono verificarsi casi di broncopneumopatia cronica ostruttiva e ciò essere causata dall'esposizione passiva al fumo di sigaretta.[126][127] Nella maggior parte dei casi si manifesta comunque in una forma relativamente mite.[128] Nei cavalli è conosciuta come ostruzione ricorrente delle vie aeree (RAO), tipicamente dovuta a una reazione allergica alla paglia contenente funghi.[129] Casi di BPCO si trovano comunemente nei cani anziani.[130]
Note
- ^ (EN) Joseph C. Segen, Concise Dictionary of Modern Medicine, New York, McGraw-Hill, 2006, p. 98, ISBN 978-88-386-3917-3.
- ^ (EN) Celli BR., Update on the Management of COPD., in Chest., vol. 133, giugno 2008, pp. 1451-1462.
- ^ (EN) Halpin D., Mortality in COPD: inevitable or preventable? Insights from the cardiovascular arena., in COPD., vol. 5, giugno 2008, pp. 187-200.
- ^ a b c d e f g h i j k l m n o p q r s t u v w x y z aa (EN) Jørgen Vestbo, Definition and Overview (PDF), in Global Strategy for the Diagnosis, Management, and Prevention of Chronic Obstructive Pulmonary Disease, Global Initiative for Chronic Obstructive Lung Disease, 2013, pp. 1-7. URL consultato il 23 aprile 2014 (archiviato dall'url originale il 4 ottobre 2013).
- ^ a b c d e f g h i j k l m (EN) John J. Reilly, Edwin K. Silverman e Steven D. Shapiro, Chronic Obstructive Pulmonary Disease, in Dan Longo, Anthony Fauci, Dennis Kasper, Stephen Hauser, J. Jameson e Joseph Loscalzo (a cura di), Harrison's Principles of Internal Medicine, 18ª ed., McGraw Hill, 2011, pp. 2151-9, ISBN 978-0-07-174889-6.
- ^ a b c d e f g h i j k l m n o p q r s t u v w x (EN) Decramer M, Janssens W, Miravitlles M, Chronic obstructive pulmonary disease, in Lancet, vol. 379, n. 9823, aprile 2012, pp. 1341-51, DOI:10.1016/S0140-6736(11)60968-9, PMID 22314182.
- ^ a b c d e f g h i (EN) Rabe KF, Hurd S, Anzueto A, Barnes PJ, Buist SA, Calverley P, Fukuchi Y, Jenkins C, Rodriguez-Roisin R, van Weel C, Zielinski J, Global strategy for the diagnosis, management, and prevention of chronic obstructive pulmonary disease: GOLD executive summary, in American Journal of Respiratory and Critical Care Medicine, vol. 176, n. 6, settembre 2007, pp. 532-55, DOI:10.1164/rccm.200703-456SO, PMID 17507545.
- ^ (EN) Nathell L, Nathell M, Malmberg P, Larsson K, COPD diagnosis related to different guidelines and spirometry techniques, in Respir. Res., vol. 8, n. 1, 2007, p. 89, DOI:10.1186/1465-9921-8-89, PMC 2217523, PMID 18053200.
- ^ (EN) The 10 leading causes of death in the world, 2000 and 2011, su who.int, World Health Organization, luglio 2013. URL consultato il 23 aprile 2014.
- ^ (EN) Mathers CD, Loncar D, Projections of Global Mortality and Burden of Disease from 2002 to 2030, in PLoS Med., vol. 3, n. 11, novembre 2006, pp. e442, DOI:10.1371/journal.pmed.0030442, PMC 1664601, PMID 17132052.
- ^ a b (EN) Irwin Ziment, History of the Treatment of Chronic Bronchitis, in Respiration, vol. 58, Suppl 1, 1991, pp. 37-42, DOI:10.1159/000195969, PMID 1925077.
- ^ a b c d (EN) Petty TL, The history of COPD, in Int J Chron Obstruct Pulmon Dis, vol. 1, n. 1, 2006, pp. 3-14, DOI:10.2147/copd.2006.1.1.3, PMC 2706597, PMID 18046898.
- ^ (EN) Emphysema, su Dictionary.com. URL consultato il 23 aprile 2014.
- ^ a b (EN) Joanne L. Wright e Andrew Churg, Pathologic Features of Chronic Obstructive Pulmonary Disease: Diagnostic Criteria and Differential Diagnosis (PDF), in Alfred Fishman, Jack Elias, Jay Fishman, Michael Grippi, Robert Senior e Allan Pack (a cura di), Fishman's Pulmonary Diseases and Disorders, 4th, New York, McGraw-Hill, 2008, pp. 693-705, ISBN 978-0-07-164109-8. URL consultato il 28 gennaio 2014 (archiviato dall'url originale il 3 marzo 2016).
- ^ (EN) Fishman AP, One hundred years of chronic obstructive pulmonary disease, in American Journal of Respiratory and Critical Care Medicine, vol. 171, n. 9, maggio 2005, pp. 941-8, DOI:10.1164/rccm.200412-1685OE, PMID 15849329.
- ^ a b (EN) Vos T, Flaxman AD, Naghavi M, Lozano R, Michaud C, Ezzati M, Shibuya K, Salomon JA, Abdalla S, Aboyans V, et al., Years lived with disability (YLDs) for 1160 sequelae of 289 diseases and injuries 1990–2010: a systematic analysis for the Global Burden of Disease Study 2010, in Lancet, vol. 380, n. 9859, dicembre 2012, pp. 2163-96, DOI:10.1016/S0140-6736(12)61729-2, PMID 23245607.
- ^ (EN) Chronic obstructive pulmonary disease (COPD) Fact sheet N°315, su who.int, WHO, novembre 2012. URL consultato il 23 aprile 2014.
- ^ a b c (EN) Jørgen Vestbo, Introduction (PDF), in Global Strategy for the Diagnosis, Management, and Prevention of Chronic Obstructive Pulmonary Disease, Global Initiative for Chronic Obstructive Lung Disease, 2013, pp. xiii-xv (archiviato dall'url originale il 4 ottobre 2013).
- ^ (EN) Lozano R, Naghavi M, Foreman K, Lim S, Shibuya K, Aboyans V, Abraham J, Adair T, Aggarwal R, et al., Global and regional mortality from 235 causes of death for 20 age groups in 1990 and 2010: a systematic analysis for the Global Burden of Disease Study 2010, in Lancet, vol. 380, n. 9859, dicembre 2012, pp. 2095-128, DOI:10.1016/S0140-6736(12)61728-0, PMID 23245604.
- ^ (EN) Rycroft CE, Heyes A, Lanza L, Becker K, Epidemiology of chronic obstructive pulmonary disease: a literature review, in Int J Chron Obstruct Pulmon Dis, vol. 7, 2012, pp. 457-94, DOI:10.2147/COPD.S32330, PMC 3422122, PMID 22927753.
- ^ (EN) Public Health Service. Office of the Surgeon General. Centers for Disease Control and Prevention, Women and Smoking A Report of the Surgeon General, in National Center for Chronic Disease Prevention and Health Promotion, 2001.
- ^ (EN) Soriano JB, Maier WC, Egger P,, Recent trends in physician diagnosed COPD in women and men in the UK., in Thorax, vol. 55, 2000, pp. 789-794.
- ^ a b (EN) Torres M, Moayedi S, Evaluation of the acutely dyspneic elderly patient, in Clin. Geriatr. Med., vol. 23, n. 2, maggio 2007, pp. 307–25, vi, DOI:10.1016/j.cger.2007.01.007, PMID 17462519.
- ^ (EN) Centers for Disease Control and Prevention, Chronic Obstructive Pulmonary Disease Among Adults — United States, 2011, in Morbidity and Mortality Weekly Report, vol. 61, n. 46, 23 novembre 2012, pp. 938-43, PMID 23169314. URL consultato il 23 aprile 2014.
- ^ (EN) Morbidity & Mortality: 2009 Chart Book on Cardiovascular, Lung, and Blood Diseases (PDF), su nhlbi.nih.gov, National Heart, Lung, and Blood Institute. URL consultato il 23 aprile 2014 (archiviato dall'url originale il 19 ottobre 2013).
- ^ a b (EN) Torio CM, Andrews RM, National Inpatient Hospital Costs: The Most Expensive Conditions by Payer, 2011: Statistical Brief #160, in Healthcare Cost and Utilization Project (HCUP) Statistical Briefs, Agency for Health Care Policy and Research, 2006, PMID 24199255. URL consultato il 2 febbraio 2014 (archiviato dall'url originale il 14 marzo 2017).
- ^ (EN) An outcomes strategy for people with chronic obstructive pulmonary disease (COPD) and asthma in England (PDF), Department of Health, 18 luglio 2011, p. 5. URL consultato il 23 aprile 2014.
- ^ a b (EN) Bjørn Lomborg, Global problems, local solutions : costs and benefits, Cambridge University Pres, 2013, p. 143, ISBN 978-1-107-03959-9.
- ^ (EN) D Bloom, The Global Economic Burden of Noncommunicable Diseases (PDF), World Economic Forum, 2011, p. 24.
- ^ (EN) American Thoracic Society and European Respiratory Society., Standards for the diagnosis and treatment., in COPD Guidelines, 2004.
- ^ (EN) World Health Organization, WHO Report on the Global Tobacco Epidemic 2008: The MPOWER Package (PDF), Geneva, World Health Organization, 2008, pp. 268-309, ISBN 92-4-159628-7.
- ^ a b (EN) Helen Ward, Oxford Handbook of Epidemiology for Clinicians, Oxford University Press, 2012, pp. 289-290, ISBN 978-0-19-165478-7.
- ^ (EN) R Laniado-Laborín, Smoking and chronic obstructive pulmonary disease (COPD). Parallel epidemics of the 21st century, in International journal of environmental research and public health, vol. 6, n. 1, gennaio 2009, pp. 209-24, DOI:10.3390/ijerph6010209, PMC 2672326, PMID 19440278.
- ^ (EN) Stephen Rennard, Clinical management of chronic obstructive pulmonary disease, 2nd, New York, Informa Healthcare, 2013, p. 23, ISBN 978-0-8493-7588-0.
- ^ a b (EN) Anita Sharma ; with a contribution by David Pitchforth ; forewords by Gail Richards, Barclay, Joyce, COPD in primary care, Oxford, Radcliffe Pub., 2010, p. 9, ISBN 978-1-84619-316-3.
- ^ a b (EN) Lee Goldman, Goldman's Cecil medicine, 24ª ed., Philadelphia, Elsevier/Saunders, 2012, p. 537, ISBN 978-1-4377-1604-7.
- ^ a b (EN) Kennedy SM, Chambers R, Du W, Dimich-Ward H, Environmental and occupational exposures: do they affect chronic obstructive pulmonary disease differently in women and men?, in Proceedings of the American Thoracic Society, vol. 4, n. 8, dicembre 2007, pp. 692-4, DOI:10.1513/pats.200707-094SD, PMID 18073405.
- ^ a b c d e f g h i j k l m (EN) Pirozzi C, Scholand MB, Smoking cessation and environmental hygiene, in Med. Clin. North Am., vol. 96, n. 4, luglio 2012, pp. 849-67, DOI:10.1016/j.mcna.2012.04.014, PMID 22793948.
- ^ (EN) Halbert RJ, Natoli JL, Gano A, Badamgarav E, Buist AS, Mannino DM, Global burden of COPD: systematic review and meta-analysis, in Eur. Respir. J., vol. 28, n. 3, settembre 2006, pp. 523-32, DOI:10.1183/09031936.06.00124605, PMID 16611654.
- ^ a b (EN) Graham Devereux, Definition, epidemiology and risk factors, in BMJ, vol. 332, n. 7550, 2006, pp. 1142-4, DOI:10.1136/bmj.332.7550.1142, PMC 1459603, PMID 16690673.
- ^ (EN) Christine Laine, In the Clinic: Practical Information about Common Health Problems, ACP Press, 2009, p. 226, ISBN 978-1-934465-64-6.
- ^ a b (EN) Peter J. Barnes, Jeffrey M. Drazen, Stephen I. Rennard e Neil C. Thomson (a cura di), Relationship between cigarette smoking and occupational exposures, in Asthma and COPD: Basic Mechanisms and Clinical Management, Amsterdam, Academic, 2009, p. 464, ISBN 978-0-12-374001-4.
- ^ (EN) Lesley Rushton, Chronic Obstructive Pulmonary Disease and Occupational Exposure to Silica, in Reviews on Environmental Health, vol. 22, n. 4, 2007, pp. 255-72, DOI:10.1515/REVEH.2007.22.4.255, PMID 18351226.
- ^ a b c (EN) Foreman MG, Campos M, Celedón JC, Genes and chronic obstructive pulmonary disease, in Med. Clin. North Am., vol. 96, n. 4, luglio 2012, pp. 699-711, DOI:10.1016/j.mcna.2012.02.006, PMC 3399759, PMID 22793939.
- ^ (EN) Brode SK, Ling SC, Chapman KR, Alpha-1 antitrypsin deficiency: a commonly overlooked cause of lung disease, in CMAJ, vol. 184, n. 12, settembre 2012, pp. 1365-71, DOI:10.1503/cmaj.111749, PMC 3447047, PMID 22761482.
- ^ a b (EN) V Beasley, Joshi, PV; Singanayagam, A; Molyneaux, PL; Johnston, SL; Mallia, P, Lung microbiology and exacerbations in COPD, in International journal of chronic obstructive pulmonary disease, vol. 7, 2012, pp. 555-69, DOI:10.2147/COPD.S28286, PMC 3437812, PMID 22969296.
- ^ a b (EN) Calverley PM, Koulouris NG, Flow limitation and dynamic hyperinflation: key concepts in modern respiratory physiology, in Eur Respir J, vol. 25, n. 1, 2005, pp. 186-199, DOI:10.1183/09031936.04.00113204, PMID 15640341.
- ^ (EN) Graeme P. Currie, ABC of COPD, 2ª ed., Chichester, West Sussex, UK, Wiley-Blackwell, BMJ Books, 2010, p. 32, ISBN 978-1-4443-2948-3.
- ^ (EN) O'Donnell DE, Hyperinflation, Dyspnea, and Exercise Intolerance in Chronic Obstructive Pulmonary Disease, in The Proceedings of the American Thoracic Society, vol. 3, n. 2, 2006, pp. 180-4, DOI:10.1513/pats.200508-093DO, PMID 16565429.
- ^ a b c d e f g h i j k l m n o p q r s t u (EN) Jørgen Vestbo, Diagnosis and Assessment (PDF), in Global Strategy for the Diagnosis, Management, and Prevention of Chronic Obstructive Pulmonary Disease, Global Initiative for Chronic Obstructive Lung Disease, 2013, pp. 9-17. URL consultato il 26 gennaio 2014 (archiviato dall'url originale il 4 ottobre 2013).
- ^ a b c d e f g h i j (EN) National Institute for Health and Health and Clinical Excellence, Chronic Obstructive Pulmonary Disease, su guidance.nice.org.uk. URL consultato il 23 aprile 2014.
- ^ a b c d e f (EN) Qaseem A, Wilt TJ, Weinberger SE, Hanania NA, Criner G, van der Molen T, Marciniuk DD, Denberg T, Schünemann H, Wedzicha W, MacDonald R, Shekelle P, Diagnosis and management of stable chronic obstructive pulmonary disease: a clinical practice guideline update from the American College of Physicians, American College of Chest Physicians, American Thoracic Society, and European Respiratory Society, in Ann. Intern. Med., vol. 155, n. 3, agosto 2011, pp. 179-91, DOI:10.7326/0003-4819-155-3-201108020-00008, PMID 21810710.
- ^ a b c d e f (EN) Phillip Gruber, The Acute Presentation of Chronic Obstructive Pulmonary Disease In the Emergency Department: A Challenging Oxymoron, in Emergency Medicine Practice, vol. 10, n. 11, novembre 2008.
- ^ (EN) Mahler DA, Mechanisms and measurement of dyspnea in chronic obstructive pulmonary disease, in Proceedings of the American Thoracic Society, vol. 3, n. 3, 2006, pp. 234-8, DOI:10.1513/pats.200509-103SF, PMID 16636091.
- ^ (EN) What Are the Signs and Symptoms of COPD?, su nhlbi.nih.gov, National Heart, Lung, and Blood Institute, 31 luglio 2013. URL consultato il 23 aprile 2014.
- ^ (EN) Chronic obstructive pulmonary disease, su nlm.nih.gov, MedlinePlusEncyclopedia. URL consultato il 23 aprile 2014.
- ^ (EN) [edited by] Nathan E. Goldstein, R. Sean Morrison, Evidence-based practice of palliative medicine, Philadelphia, Elsevier/Saunders, 2013, p. 124, ISBN 978-1-4377-3796-7.
- ^ a b (EN) Holland AE, Hill CJ, Jones AY, McDonald CF, Breathing exercises for chronic obstructive pulmonary disease, in Anne E Holland (a cura di), Cochrane Database Syst Rev, vol. 10, 2012, pp. CD008250, DOI:10.1002/14651858.CD008250.pub2, PMID 23076942.
- ^ a b (EN) Weitzenblum E, Chaouat A, Cor pulmonale, in Chron Respir Dis, vol. 6, n. 3, 2009, pp. 177-85, DOI:10.1177/1479972309104664, PMID 19643833.
- ^ (EN) Cor pulmonale, in Professional guide to diseases, 9th, Philadelphia, Wolters Kluwer Health/Lippincott Williams & Wilkins, 2009, pp. 120-2, ISBN 978-0-7817-7899-2.
- ^ (EN) editors, James K. Stoller, Franklin A. Michota, Jr., Brian F. Mandell, The Cleveland Clinic Foundation intensive review of internal medicine, 5ª ed., Philadelphia, Wolters Kluwer Health/Lippincott Williams & Wilkins, 2009, p. 419, ISBN 978-0-7817-9079-6.
- ^ a b (EN) Vincent B. Young, Blueprints medicine, 5ª ed., Philadelphia, Wolters Kluwer Health/Lippincott William & Wilkins, 2010, p. 69, ISBN 978-0-7817-8870-0.
- ^ (EN) Keith Stone, Humphries L.Roger, Guida pratica alla diagnosi e alla terapia in medicina d’urgenza 1ª edizione pag 39, Milano, McGraw-Hill, 2005, ISBN 88-386-3908-6.
- ^ (EN) Dirkje S. Postma e Klaus F. Rabe, The Asthma–COPD Overlap Syndrome, in Jeffrey M. Drazen (a cura di), New England Journal of Medicine, vol. 373, n. 13, 24 settembre 2015, pp. 1241-1249, DOI:10.1056/NEJMra1411863. URL consultato l'8 febbraio 2023.
- ^ (EN) COPD Assessment Test (CAT), su thoracic.org, American Thoracic Society. URL consultato il 23 aprile 2014.
- ^ a b c d e f g h i j (EN) Jørgen Vestbo, Management of Exacerbations (PDF), in Global Strategy for the Diagnosis, Management, and Prevention of Chronic Obstructive Pulmonary Disease, Global Initiative for Chronic Obstructive Lung Disease, 2013, pp. 39-45. URL consultato il 26 gennaio 2014 (archiviato dall'url originale il 4 ottobre 2013).
- ^ (EN) Begin P, Grassino A, Inspiratory muscle dysfunction and chronic hypercapnia in chronic obstructive pulmonary disease, in Am Rev Respir Dis, vol. 143, 1991, pp. 905-912.
- ^ (EN) Brulotte CA, Lang ES, Acute exacerbations of chronic obstructive pulmonary disease in the emergency department, in Emerg. Med. Clin. North Am., vol. 30, n. 2, maggio 2012, pp. 223–47, vii, DOI:10.1016/j.emc.2011.10.005, PMID 22487106.
- ^ (EN) Stephen Spiro, Clinical respiratory medicine expert consult, 4ª ed., Philadelphia, PA, Saunders, 2012, p. Chapter 43, ISBN 978-1-4557-2329-4.
- ^ a b c (EN) Raja Dhar, Textbook of pulmonary and critical care medicine, New Delhi, Jaypee Brothers Medical Publishers, 2011, p. 1056, ISBN 978-93-5025-073-0.
- ^ (EN) Paolo Palange, ERS Handbook of Respiratory Medicine, European Respiratory Society, 2013, p. 194, ISBN 978-1-84984-041-5.
- ^ (EN) Jan Lötvall, Advances in combination therapy for asthma and COPD, Chichester, West Sussex, John Wiley & Sons, 2011, p. 251, ISBN 978-1-119-97846-6.
- ^ (EN) Peter Barnes, Asthma and COPD : basic mechanisms and clinical management, 2nd, Amsterdam, Academic, 2009, p. 837, ISBN 978-0-12-374001-4.
- ^ (EN) Nicola Hanania, COPD a Guide to Diagnosis and Clinical Management, 1st, Totowa, NJ, Springer Science+Business Media, LLC, 9 dicembre 2010, p. 197, ISBN 978-1-59745-357-8.
- ^ a b (EN) Drummond MB, Dasenbrook EC, Pitz MW, Murphy DJ, Fan E, Inhaled corticosteroids in patients with stable chronic obstructive pulmonary disease: a systematic review and meta-analysis, in JAMA, vol. 300, n. 20, novembre 2008, pp. 2407-16, DOI:10.1001/jama.2008.717, PMID 19033591.
- ^ a b (EN) Carlucci A, Guerrieri A, Nava S, Palliative care in COPD patients: is it only an end-of-life issue?, in Eur Respir Rev, vol. 21, n. 126, dicembre 2012, pp. 347-54, DOI:10.1183/09059180.00001512, PMID 23204123.
- ^ (EN) Ferreira IM, Brooks D, White J, Goldstein R, Nutritional supplementation for stable chronic obstructive pulmonary disease, in Ivone M Ferreira (a cura di), Cochrane Database Syst Rev, vol. 12, 2012, pp. CD000998, DOI:10.1002/14651858.CD000998.pub3, PMID 23235577.
- ^ a b GOLD ASSEMBLY, Global Initiative for Chronic Obstructive Lung Disease, Inc, 2019.
- ^ (EN) COPD — Treatment, su nhlbi.nih.gov, U.S. National Heart Lung and Blood Institute. URL consultato il 23 aprile 2014.
- ^ (EN) Puhan MA, Gimeno-Santos E, Scharplatz M, Troosters T, Walters EH, Steurer J, Pulmonary rehabilitation following exacerbations of chronic obstructive pulmonary disease, in Milo A Puhan (a cura di), Cochrane Database Syst Rev, n. 10, 2011, pp. CD005305, DOI:10.1002/14651858.CD005305.pub3, PMID 21975749.
- ^ (EN) Lacasse Y, Goldstein R, Lasserson TJ, Martin S, Pulmonary rehabilitation for chronic obstructive pulmonary disease, in Yves Lacasse (a cura di), Cochrane Database Syst Rev, n. 4, 2006, pp. CD003793, DOI:10.1002/14651858.CD003793.pub2, PMID 17054186.
- ^ (EN) van Dijk WD, van den Bemt L, van Weel C, Megatrials for bronchodilators in chronic obstructive pulmonary disease (COPD) treatment: time to reflect, in J Am Board Fam Med, vol. 26, n. 2, 2013, pp. 221-4, DOI:10.3122/jabfm.2013.02.110342, PMID 23471939.
- ^ (EN) Liesker JJ, Wijkstra PJ, Ten Hacken NH, Koëter GH, Postma DS, Kerstjens HA, A systematic review of the effects of bronchodilators on exercise capacity in patients with COPD, in Chest, vol. 121, n. 2, febbraio 2002, pp. 597-608, DOI:10.1378/chest.121.2.597, PMID 11834677. URL consultato il 31 gennaio 2014 (archiviato dall'url originale il 28 settembre 2015).
- ^ (EN) Chong J, Karner C, Poole P, Tiotropium versus long-acting beta-agonists for stable chronic obstructive pulmonary disease, in Jimmy Chong (a cura di), Cochrane Database Syst Rev, vol. 9, 2012, pp. CD009157, DOI:10.1002/14651858.CD009157.pub2, PMID 22972134.
- ^ a b c d e f g h (EN) Jørgen Vestbo, Therapeutic Options (PDF), in Global Strategy for the Diagnosis, Management, and Prevention of Chronic Obstructive Pulmonary Disease, Global Initiative for Chronic Obstructive Lung Disease, 2013, pp. 19-30. URL consultato il 26 gennaio 2014 (archiviato dall'url originale il 4 ottobre 2013).
- ^ a b (EN) AC. Cave e MM. Hurst, The use of long acting β₂-agonists, alone or in combination with inhaled corticosteroids, in chronic obstructive pulmonary disease (COPD): a risk-benefit analysis, in Pharmacol Ther, vol. 130, n. 2, maggio 2011, pp. 114-43, DOI:10.1016/j.pharmthera.2010.12.008, PMID 21276815.
- ^ (EN) S Spencer, Karner, C; Cates, CJ; Evans, DJ, Inhaled corticosteroids versus long-acting beta(2)-agonists for chronic obstructive pulmonary disease, in Sally Spencer (a cura di), The Cochrane database of systematic reviews, n. 12, 7 dicembre 2011, pp. CD007033, DOI:10.1002/14651858.CD007033.pub3, PMID 22161409.
- ^ (EN) J Wang, Nie, B; Xiong, W; Xu, Y, Effect of long-acting beta-agonists on the frequency of COPD exacerbations: a meta-analysis, in Journal of clinical pharmacy and therapeutics, vol. 37, n. 2, aprile 2012, pp. 204-11, DOI:10.1111/j.1365-2710.2011.01285.x, PMID 21740451.
- ^ (EN) Decramer ML, Hanania NA, Lötvall JO, Yawn BP, The safety of long-acting β2-agonists in the treatment of stable chronic obstructive pulmonary disease, in Int J Chron Obstruct Pulmon Dis, vol. 8, 2013, pp. 53-64, DOI:10.2147/COPD.S39018, PMC 3558319, PMID 23378756.
- ^ (EN) LJ Nannini, Lasserson, TJ; Poole, P, Combined corticosteroid and long-acting beta(2)-agonist in one inhaler versus long-acting beta(2)-agonists for chronic obstructive pulmonary disease, in Luis Javier Nannini (a cura di), The Cochrane database of systematic reviews, vol. 9, 12 settembre 2012, pp. CD006829, DOI:10.1002/14651858.CD006829.pub2, PMID 22972099.
- ^ (EN) Cheyne L, Irvin-Sellers MJ, White J, Tiotropium versus ipratropium bromide for chronic obstructive pulmonary disease, in Leanne Cheyne (a cura di), Cochrane Database of Systematic Reviews, vol. 9, n. 9, 16 settembre 2013, pp. CD009552, DOI:10.1002/14651858.CD009552.pub2, PMID 24043433.
- ^ C Karner, Chong, J; Poole, P, Tiotropium versus placebo for chronic obstructive pulmonary disease, in Charlotta Karner (a cura di), The Cochrane database of systematic reviews, vol. 7, 11 luglio 2012, pp. CD009285, DOI:10.1002/14651858.CD009285.pub2, PMID 22786525.
- ^ (EN) Singh S, Loke YK, Furberg CD, Inhaled anticholinergics and risk of major adverse cardiovascular events in patients with chronic obstructive pulmonary disease: a systematic review and meta-analysis, in JAMA, vol. 300, n. 12, settembre 2008, pp. 1439-50, DOI:10.1001/jama.300.12.1439, PMID 18812535.
- ^ (EN) Singh S, Loke YK, Enright P, Furberg CD, Pro-arrhythmic and pro-ischaemic effects of inhaled anticholinergic medications, in Thorax, vol. 68, n. 1, gennaio 2013, pp. 114-6, DOI:10.1136/thoraxjnl-2011-201275, PMID 22764216.
- ^ (EN) Gartlehner G, Hansen RA, Carson SS, Lohr KN, Efficacy and Safety of Inhaled Corticosteroids in Patients With COPD: A Systematic Review and Meta-Analysis of Health Outcomes, in Ann Fam Med, vol. 4, n. 3, 2006, pp. 253-62, DOI:10.1370/afm.517, PMC 1479432, PMID 16735528.
- ^ (EN) Shafazand S, ACP Journal Club. Review: inhaled medications vary substantively in their effects on mortality in COPD, in Ann. Intern. Med., vol. 158, n. 12, giugno 2013, pp. JC2, DOI:10.7326/0003-4819-158-12-201306180-02002, PMID 23778926.
- ^ (EN) Mammen MJ, Sethi S, Macrolide therapy for the prevention of acute exacerbations in chronic obstructive pulmonary disease, in Pol. Arch. Med. Wewn., vol. 122, 1–2, 2012, pp. 54-9, PMID 22353707.
- ^ a b (EN) SC Herath, Poole, P, Prophylactic antibiotic therapy for chronic obstructive pulmonary disease (COPD)., in The Cochrane database of systematic reviews, vol. 11, 28 novembre 2013, pp. CD009764, PMID 24288145.
- ^ (EN) S Simoens, Laekeman, G; Decramer, M, Preventing COPD exacerbations with macrolides: a review and budget impact analysis, in Respiratory medicine, vol. 107, n. 5, maggio 2013, pp. 637-48, DOI:10.1016/j.rmed.2012.12.019, PMID 23352223.
- ^ (EN) Barr RG, Rowe BH, Camargo CA, Methylxanthines for exacerbations of chronic obstructive pulmonary disease, in R Graham Barr (a cura di), Cochrane Database Syst Rev, n. 2, 2003, pp. CD002168, DOI:10.1002/14651858.CD002168, PMID 12804425.
- ^ a b c d (EN) Mackay AJ, Hurst JR, COPD exacerbations: causes, prevention, and treatment, in Med. Clin. North Am., vol. 96, n. 4, luglio 2012, pp. 789-809, DOI:10.1016/j.mcna.2012.02.008, PMID 22793945.
- ^ a b (EN) Group COPD Working, Long-term oxygen therapy for patients with chronic obstructive pulmonary disease (COPD): an evidence-based analysis, in Ontario health technology assessment series, vol. 12, n. 7, 2012, pp. 1-64, PMC 3384376, PMID 23074435.
- ^ (EN) Bradley JM, O'Neill B, Short-term ambulatory oxygen for chronic obstructive pulmonary disease, in Judy M Bradley (a cura di), Cochrane Database Syst Rev, n. 4, 2005, pp. CD004356, DOI:10.1002/14651858.CD004356.pub3, PMID 16235359.
- ^ (EN) Uronis H, McCrory DC, Samsa G, Currow D, Abernethy A, Symptomatic oxygen for non-hypoxaemic chronic obstructive pulmonary disease, in Amy Abernethy (a cura di), Cochrane Database Syst Rev, n. 6, 2011, pp. CD006429, DOI:10.1002/14651858.CD006429.pub2, PMID 21678356.
- ^ (EN) Stephen Chapman, Oxford handbook of respiratory medicine, 2ª ed., Oxford, Oxford University Press, 2009, p. 707, ISBN 978-0-19-954516-2.
- ^ (EN) Laura Blackler, Managing chronic obstructive pulmonary disease, Chichester, England, John Wiley & Sons, 2007, p. 49, ISBN 978-0-470-51798-7.
- ^ (EN) Surinder K Jindal, Chronic Obstructive Pulmonary Disease., Jaypee Brothers Medical Pub, 2013, p. 139, ISBN 978-93-5090-353-7.
- ^ a b (EN) BR O'Driscoll, Howard, LS; Davison, AG; British Thoracic, Society, BTS guideline for emergency oxygen use in adult patients, in Thorax, 63 Suppl 6, ottobre 2008, pp. vi1–68, DOI:10.1136/thx.2008.102947, PMID 18838559.
- ^ a b (EN) Vollenweider DJ, Jarrett H, Steurer-Stey CA, Garcia-Aymerich J, Puhan MA, Antibiotics for exacerbations of chronic obstructive pulmonary disease, in Daniela J Vollenweider (a cura di), Cochrane Database Syst Rev, vol. 12, 2012, pp. CD010257, DOI:10.1002/14651858.CD010257, PMID 23235687.
- ^ (EN) E Jeppesen, Brurberg, KG; Vist, GE; Wedzicha, JA; Wright, JJ; Greenstone, M; Walters, JA, Hospital at home for acute exacerbations of chronic obstructive pulmonary disease., in The Cochrane database of systematic reviews, vol. 5, 16 maggio 2012, pp. CD003573, DOI:10.1002/14651858.CD003573.pub2, PMID 22592692.
- ^ (EN) WHO Disease and injury country estimates, su World Health Organization, 2009. URL consultato il 23 aprile 2014.
- ^ a b (EN) Murray CJ, Vos T, Lozano R, Naghavi M, Flaxman AD, Michaud C, Ezzati M, Shibuya K, Salomon JA, et al., Disability-adjusted life years (DALYs) for 291 diseases and injuries in 21 regions, 1990–2010: a systematic analysis for the Global Burden of Disease Study 2010, in Lancet, vol. 380, n. 9859, dicembre 2012, pp. 2197-223, DOI:10.1016/S0140-6736(12)61689-4, PMID 23245608.
- ^ Giovanni Bonsignore, Bellia Vincenzo, Malattie dell’apparato respiratorio terza edizione pag 241-242, Milano, McGraw-Hill, 2006, ISBN 978-88-386-2390-5.
- ^ (EN) prepared by the Department of Medicine, Washington University School of Medicine, The Washington manual general internal medicine subspecialty consult., 2ª ed., Philadelphia, Wolters Kluwer Health/Lippincott Williams & Wilkins, 2009, p. 96, ISBN 978-0-7817-9155-7.
- ^ (EN) Poole PJ, Chacko E, Wood-Baker RW, Cates CJ, Influenza vaccine for patients with chronic obstructive pulmonary disease, in Phillippa Poole (a cura di), Cochrane Database Syst Rev, n. 1, 2006, pp. CD002733, DOI:10.1002/14651858.CD002733.pub2, PMID 16437444.
- ^ a b c (EN) Policy Recommendations for Smoking Cessation and Treatment of Tobacco Dependence, World Health Organization, pp. 15-40, ISBN 978-92-4-156240-9.
- ^ (EN) Jiménez-Ruiz CA, Fagerström KO, Smoking cessation treatment for COPD smokers: the role of counselling, in Monaldi Arch Chest Dis, vol. 79, n. 1, marzo 2013, pp. 33-7, PMID 23741944.
- ^ a b (EN) Tønnesen P, Smoking cessation and COPD, in Eur Respir Rev, vol. 22, n. 127, marzo 2013, pp. 37-43, DOI:10.1183/09059180.00007212, PMID 23457163.
- ^ (EN) Why is smoking addictive?, su NHS Choices, 29 dicembre 2011. URL consultato il 23 aprile 2014.
- ^ (EN) Barbara K. Timby, Nancy E. Smith, Essentials of nursing: care of adults and children, Philadelphia, Lippincott Williams & Wilkins, 2005, p. 338, ISBN 978-0-7817-5098-1.
- ^ (EN) William N. Rom e Steven B. Markowitz (a cura di), Environmental and occupational medicine, 4th, Philadelphia, Wolters Kluwer/Lippincott Williams & Wilkins, 2007, pp. 521-2, ISBN 978-0-7817-6299-1.
- ^ (EN) Wet cutting, su hse.gov.uk, Health and Safety Executive. URL consultato il 23 aprile 2014.
- ^ (EN) Ronald B. George, Chest medicine: essentials of pulmonary and critical care medicine, 5th, Philadelphia, PA, Lippincott Williams & Wilkins, 2005, p. 172, ISBN 978-0-7817-5273-2.
- ^ a b (EN) Jørgen Vestbo, Management of Stable COPD (PDF), in Global Strategy for the Diagnosis, Management, and Prevention of Chronic Obstructive Pulmonary Disease, Global Initiative for Chronic Obstructive Lung Disease, 2013, pp. 31-8 (archiviato dall'url originale il 4 ottobre 2013).
- ^ (EN) Linda Nici, Chronic Obstructive Pulmonary Disease: Co-Morbidities and Systemic Consequences, Springer, 2011, p. 78, ISBN 978-1-60761-673-3.
- ^ (EN) R. Michael Akers, Denbow, D. Michael, Anatomy and Physiology of Domestic Animals, Arnes, AI, Wiley, 2008, p. 852, ISBN 978-1-118-70115-7.
- ^ (EN) JL Wright, Churg, A, Animal models of cigarette smoke-induced COPD, in Chest, vol. 122, 6 Suppl, dicembre 2002, pp. 301S–6S, DOI:10.1378/chest.122.6_suppl.301S, PMID 12475805.
- ^ (EN) A Churg, Wright, JL, Animal models of cigarette smoke-induced chronic obstructive lung disease, in Contributions to microbiology, Contributions to Microbiology, vol. 14, 2007, pp. 113–25, DOI:10.1159/000107058, ISBN 3-8055-8332-X, PMID 17684336.
- ^ (EN) Marinkovic D, Aleksic-Kovacevic S, Plamenac P, Cellular basis of chronic obstructive pulmonary disease in horses, in Int. Rev. Cytol., International Review of Cytology, vol. 257, 2007, pp. 213-47, DOI:10.1016/S0074-7696(07)57006-3, ISBN 978-0-12-373701-4, PMID 17280899.
- ^ (EN) Miller MS, Tilley LP, Smith FW, Cardiopulmonary disease in the geriatric dog and cat, in Vet. Clin. North Am. Small Anim. Pract., vol. 19, n. 1, gennaio 1989, pp. 87-102, PMID 2646821.
Bibliografia
- Giovanni Bonsignore e Vincenzo Bellia, Malattie dell’apparato respiratorio terza edizione, Milano, McGraw-Hill, 2006, ISBN 978-88-386-2390-5.
- Keith Stone e Humphries L. Roger, Guida pratica alla diagnosi e alla terapia in medicina d’urgenza 1ª edizione, Milano, McGraw-Hill, 2005, ISBN 88-386-3908-6.
- (EN) Research Laboratories Merck, The Merck Manual quinta edizione, Milano, Springer-Verlag, 2008, ISBN 978-88-470-0707-9.
- (EN) Linee Guida GOLD per la BPCO
Voci correlate
Voci correlate
Altri progetti
Wikizionario contiene il lemma di dizionario «broncopatia»
Wikimedia Commons contiene immagini o altri file sulla broncopatia
Collegamenti esterni
- (EN) Michael Polkey, chronic obstructive pulmonary disease, su Enciclopedia Britannica, Encyclopædia Britannica, Inc.
- (EN) chronic destructive pulmonary disease, su Enciclopedia Britannica, Encyclopædia Britannica, Inc.
| Controllo di autorità | J9U (EN, HE) 987007538668305171 · NDL (EN, JA) 00942909 |
|---|
