Ematoma subdurale

Ematoma subdurale
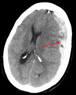
Ematoma subdurale fronto-parietale sinistro, indicato con la freccia, associato a uno spostamento a destra del tessuto cerebrale e ad una emorragia biventricolare a livello dei corpi dei ventricoli laterali (iperdensità intraventricolare)
Specialitàneurochirurgia
Classificazione e risorse esterne (EN)
ICD-9-CM852.2 e 432.1
ICD-10I62.0, P10.0 e S06.5
MeSHD006408
MedlinePlus000713
eMedicine1137207
Sinonimi
emorragia subdurale

L'ematoma o emorragia subdurale è un versamento di sangue, solitamente conseguente a un trauma cranico, che si localizza nelle meningi, in particolare tra la dura madre e l'aracnoide.

L’ematoma subdurale acuto è una patologia frequente nei pazienti che hanno subito un trauma stradale od una caduta di una certa importanza e può causare, nonostante la rimozione chirurgica, dei danni cerebrali permanenti di varia gravità dovuti principalmente all’effetto massa che l’ematoma stesso ha sul tessuto cerebrale.

Le cause non traumatiche dell'ematoma sono spesso conseguenza di alterazioni della coagulazione del sangue (ictus, ischemia cerebrale, aneurisma, emorragia, coagulo, trombo), presenza di tumore cerebrale o conseguenze di operazioni di neurochirurgia. Formato da sangue venoso, se va a comprimere le strutture del sistema ventricolare può bloccare il deflusso del liquor dando origine all'idrocefalo ostruttivo. La diagnosi può essere accertata tramite una semplice TC cranica senza mezzo di contrasto che evidenzierà, nel caso di un ematoma subdurale acuto un’area iperdensa (cioè più chiara rispetto al tessuto cerebrale circostante) a forma di falce, adiacente alla teca cranica.

Nel caso in cui l’ematoma subdurale sia cronico si evidenzierà un’area ipodensa (cioè più scura rispetto al tessuto cerebrale circostante).

Essendo l’ematoma subdurale un’emergenza sanitaria di una certa importanza, per la diagnosi effettiva la risonanza magnetica non è indicata di routine poiché presenta dei tempi di esecuzione nettamente maggiori rispetto alla tomografia computerizzata e non è accessibile a tutti i pazienti (quali ad esempio persone portatrici di pacemaker).

Il trattamento può essere chirurgico e non. Sta al neurochirurgo valutare, tramite l’osservazione degli esami diagnostici eseguiti, la reale necessità di un intervento chirurgico di rimozione dell’ematoma.

La sintomatologia dell’ematoma subdurale acuto può variare da una semplice nausea, disorientamento, vertigini, a sintomi ben più gravi quali le alterazioni dello stato di coscienza, al coma che può portare al decesso. Le conseguenze nei sopravvissuti sono simili a quelle dell'ictus, in seguito e in relazione all'entità della lesione cerebrale, fino a disabilità permanente. Nel caso il paziente affetto da ematoma subdurale non sia cosciente o presenti alterazioni neurologiche importanti, per valutare la gravità della situazione, oltre agli esami di imaging radiologico, si può utilizzare la scala Glasgow Coma Scale, abitualmente utilizzata dal personale sanitario per la valutazione dello stato di coscienza dei pazienti (è una scala a punti in cui si valutano la risposta verbale, oculare e motoria; il punteggio massimo è 15, il minimo 3). Un paziente con un GCS minore o uguale ad 8 è un paziente affetto da un grave trauma cranico.

Voci correlate

Altri progetti

Collegamenti esterni

Controllo di autoritàThesaurus BNCF 46073 · LCCN (ENsh85129418 · BNF (FRcb145427762 (data) · J9U (ENHE987007543743005171