Astrocitoma diffuso
| Astrocitoma diffuso | |
|---|---|
![]() | |
| Sigle | DA (Diffuse Astrocytoma) |
| Sinonimi | |
| Astrocitoma di II grado, Astrocitoma di basso grado | |
| Classificazione e risorse esterne | |
| Neurooncologia | |
| Tumori del tessuto neuroepiteliale └► Tumori astrocitari └► Astrocitoma diffuso | |
| ICD-O | 9400/3 |
| Grado WHO | II |
Un astrocitoma diffuso è una neoplasia astrocitaria di grado II della scala WHO. Nella maggioranza dei casi insorge nel terzo-quarto decennio di vita. L'incidenza è tra 0,16 e 0,26 casi per 100.000 per persone per anno.[1] Nei bambini interessa normalmente il tronco cerebrale.
Alla TAC si presenta con una lesione ipodensa e alla RMN come un'area a elevato segnale di intensità in T2. In entrambe le metodiche non viene evidenziato enhancement al mezzo di contrasto.
Si tratta di un tumore ad alta capacità infiltrativa e i cui limiti risultano indefinibili. Un astrocitoma diffuso che rimane ben differenziato può permettere una sopravvivenza che dura molti anni. Più frequentemente, dopo una media di 4-5 anni, la neoplasia progredisce verso forme più maligne (glioblastoma). La sopravvivenza media è di 7,5 anni e la sopravvivenza fino a 5 anni o più si ha nel 40–50% dei pazienti.[2][3]
Le possibilità terapeutiche comprendono:
- chirurgia, laddove è possibile senza rischiare danni alle aree cosiddette nobili o eloquenti
- biopsia, se la lesione è molto estesa e con caratteri decisamente infiltranti
- radioterapia e chemioterapia.
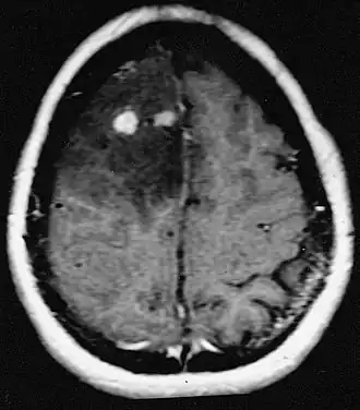
L'illustrazione a lato mostra un'immagine RM di un astrocitoma diffuso del lobo frontale destro. La neoplasia è in parte di grado II (parte più scura) e in parte di grado elevato (come rappresentato dalle localizzazioni bianche di contrast-enhancing).
Note
- ^ G. Filippini (2006). Epidemiologia dei tumori cerebrali Mediterranean School of Oncology, Roma 6-7 luglio 2006. URL consultato il 2-6-2008.
- ^ G. Maira, Chirurgia dei tumori cerebrali primitivi, Neurol Sci (2003) 24:S584–S587
- ^ (EN) Lisa M. DeAngelis (2001). Brain Tumors, N Engl J Med, Vol. 344(2):114-123, January 11, 2001.
Bibliografia
- (EN) Jeffrey N Bruce et al. (2006). Astrocytoma. eMedicine. URL consultato il 2-06-2008
- (EN) Lisa M. DeAngelis (2001). Brain Tumors, N Engl J Med, Vol. 344(2):114-123, January 11, 2001.
- (EN) P. Kleihues et al., Diffuse Astrocytoma. In P. Kleihues, W.K. Cavenee, eds., Pathology and genetics of tumours of the nervous system, World Health Organization classification of tumours. Lyon, France: IARC Press, 2000, ISBN 9283224094
Voci correlate
- Classificazione dei tumori del sistema nervoso centrale
- Gradazione dei tumori del sistema nervoso centrale
- Neurooncologia
- Neuroradiologia dei tumori primitivi cerebrali
Altri progetti
Wikimedia Commons contiene immagini o altri file su astrocitoma diffuso
