CADASIL
| CADASIL | |
|---|---|
![]() | |
| Specialità | neurologia, cardiologia e genetica clinica |
| Eziologia | mutazione |
| Classificazione e risorse esterne (EN) | |
| OMIM | 125310 |
| MeSH | D046589 |
| GeneReviews | Panoramica |
| Sinonimi | |
| Demenza-infarto cerebrale multiplo ereditario Demenza ereditaria con infarti cerebrali multipli | |
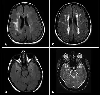
Per sindrome CADASIL (acronimo derivante dai termini in inglese "cerebral autosomal dominant arteriopathy with subcortical infarcts and leukoencephalopathy", in italiano "arteriopatia cerebrale autosomica dominante con infarti sottocorticali e leucoencefalopatia"), chiamata anche demenza-infarto cerebrale multiplo ereditario o demenza ereditaria con infarti cerebrali multipli[1], si intende una malattia di carattere autosomico dominante dei piccoli vasi caratterizzata da ripetuti infarti cerebrali profondi.
Sintomatologia e decorso
La sindrome CADASIL esordisce fra i 35 e i 55 anni di età. Fra i sintomi e i segni clinici si riscontra inizialmente emicrania con aura e i tipici sintomi del mal di testa (dolore da cefalea, vomito, nausea, fotofobia, ecc.), causata da attacchi ischemici transitori o periodici ictus di modesta entità (che si aggravano col tempo) nella zona subcorticale; il soggetto sviluppa problemi di vista e disordini del comportamento fino ad apparenti patologie psichiatriche che possono essere confuse con psicosi, schizofrenia, disturbo bipolare, disturbo depressivo.[2]
La malattia, in seguito ai continui ictus ed emorragie cerebrali, giunge in fase acuta e progredisce quindi con demenza di tipo vascolare e subcorticale progressiva, associata a paralisi pseudobulbare, incontinenza urinaria, episodi frequenti di stato confusionale, declino cognitivo, atassia, disturbi muscolari e sensitivi di tipo neurologico, arrivando - in certi casi di lunga sopravvivenza - all'apatia, alla paraplegia e alla totale catatonia. La morte avviene per possibili diverse cause: ictus, paralisi avanzata, disturbi circolatori e respiratori, o infezioni sopraggiunte.[3][4] La sopravvivenza dalla diagnosi va da pochi anni a più di vent'anni; la sopravvivenza delle femmine è più lunga dei maschi.[3]
Eziologia
Dovuto ad un difetto a livello genetico, il cui gene, il NOTCH3 è mappato nel cromosoma 19.[5]
Esami
Per una corretta diagnosi si utilizza una biopsia della pelle ed esami genetici.[6] Oggi non è più necessaria una biopsia. Basta un esame del sangue approfondito.
Diagnosi differenziale
Una volta veniva confusa per la malattia di Binswanger, la cui differenza principale è la mancanza di associazione a malattie cardiovascolari.
Terapia
Non esiste un trattamento specifico. Per rallentare la malattia vengono oggi utilizzati farmaci che hanno la proprietà di prevenire trombi, ictus e infarti, come l'acido acetilsalicilico (aspirina), il clopidogrel e il dipiridamolo, ma la patologia resta incurabile.
Storia
Secondo alcuni studi, la CADASIL fu la causa dei disturbi, della malattia e della morte del musicista Felix Mendelssohn (anche sua sorella, i genitori e il nonno morirono per ripetuti ictus[7]), e del filosofo Friedrich Nietzsche (così come del padre e del nonno di questi).[8]
Note
- ^ http://www.orpha.net/consor/cgi-bin/Disease_Search.php?lng=IT&data_id=1001&Disease_Disease_Search_diseaseType=ORPHA&Disease_Disease_Search_diseaseGroup=136&Malattia(e)/%20gruppo%20di%20malattie=Demenza-ereditaria-con-infarti-cerebrali-multipli&title=Demenza-ereditaria-con-infarti-cerebrali-multipli&search=Disease_Search_Simple
- ^ del Río-Espínola A, Mendióroz M, Domingues-Montanari S, Pozo-Rosich P, Solé E, Fernández-Morales J, Fernández-Cadenas I, Montaner J., CADASIL management or what to do when there is little one can do., in Expert Rev Neurother., vol. 9, febbraio 2009, pp. 197-210.
- ^ a b Long-term prognosis and causes of death in CADASIL: a retrospective study in 411 patients
- ^ Reyes S, Viswanathan A, Godin O, Dufouil C, Benisty S, Hernandez K, Kurtz A, Jouvent E, O'Sullivan M, Czernecki V, Bousser MG, Dichgans M, Chabriat H., Apathy: a major symptom in CADASIL., in Neurology., vol. 10, 2009, pp. 905-10.
- ^ Joutel A, François A, Chabriat H, Vahedi K, Andreux F, Domenga V, Cecillon M, Maciazek J, Bousser MG, Tournier-Lasserve E., CADASIL: genetics and physiopathology, in Bull Acad Natl Med., vol. 184, 2000, pp. 1535-42.
- ^ Dziewulska D, Kwieciński H., CADASIL syndrome - cerebral autosomal dominant arteriopathy with subcortical infarcts and leukoencephalopathy, in Neurol Neurochir Pol. ., vol. 42, 2008, pp. 123-30.
- ^ Sterndale Bennett, R., The Death of Mendelssohn, in 'Music and Letters' vol. 36 no. 4, Oxford, 1955, p. 376
- ^ Hemelsoet D, Hemelsoet K, Devreese D (March 2008). "The neurological illness of Friedrich Nietzsche". Acta Neurol Belg. 108 (1): 9–16. PMID 18575181.
Altri progetti
Wikimedia Commons contiene immagini o altri file su CADASIL
