Cryptococcus neoformans
| Cryptococcus neoformans | |
|---|---|
![]() | |
| Classificazione scientifica | |
| Dominio | Eukaryota |
| Regno | Fungi |
| Phylum | Basidiomycota |
| Subphylum | Basidiomycotina |
| Classe | Tremellomycetes |
| Ordine | Tremellales |
| Famiglia | Cryptococcaceae |
| Genere | Filobasidiella (Cryptococcus) |
| Specie | Filobasidiella neoformans (Cryptococcus neoformans) |
| Nomenclatura binomiale | |
| Cryptococcus neoformans | |
| Varianti | |
| Cryptococcus neoformans var. neoformans Cryptococcus neoformans var. grubii | |
Cryptococcus neoformans è un fungo patogeno opportunista ubiquitario, agente eziologico della criptococcosi.
È presente sia in piante che animali, e si ritrova facilmente nel terreno arricchito da feci di piccione (var. neoformans) o nell'humus arricchito di foglie e rami di Eucalyptus camaldulensis (var. gattii).
Struttura e sierotipi
Esistono 5 sierotipi: A, B, C, D e AD. I sierotipi A, D e AD erano compresi sotto Cryptococcus neoformans var. neoformans, mentre B e C sotto Cryptococcus neoformans var. gattii, in seguito è stata introdotta una nuova variante e la classificazione è cambiata nel modo seguente: Cryptococcus neoformans var. neoformans comprende il solo sierotipo D, Cryptococcus neoformans var. gattii i sierotipi B e C, Cryptococcus neoformans var. grubii il sierotipo A, mentre il sierotipo ibrido AD non è compreso in alcuna variante. Recenti ricerche hanno indotto inoltre a considerare la var. gattii una specie a sé, Cryptococcus gattii[1].
La sola forma che si ritrova nei tessuti umani è la forma lievitiforme; non possiede filamenti, ife o pseudo-ife e si divide per gemmazione.
Possiede una vistosa capsula che rende ragione del pleomorfismo, tuttavia possono manifestarsi ceppi acapsulati.
I lieviti sono cellule sferiche, ovali o appiattite di 2 - 20 µm di diametro.
Patogenesi
C. neoformans causa malattie con alto indice di gravità in soggetti immunocompromessi.
La malattia inizia con l'aspirazione delle spore (basidiospore) disperse nell'ambiente; successivamente le spore si spostano nei polmoni e, a causa dell'aumento di temperatura (37°), si trasformano in lieviti che, negli alveoli, vengono fagocitati dai macrofagi. Questo comporta un richiamo degli elementi dell'immunità acquisita (in particolare i linfociti T CD4), che promuovono la fagocitosi.
- Se il soggetto è immunocompetente, l'infezione termina e non si ha disseminazione.
- Se il soggetto è immunocompromesso, il lievito prolifera, provoca un danno tissutale diretto, un'invasione dei linfonodi ilari con successiva disseminazione ematica e localizzazione verso i tessuti target (meningi ed encefalo)
Tuttavia, C. neoformans possiede dei fattori di virulenza costitutivi (capsula e melanina) che promuovono la progressione maligna della malattia e i danni tissutali diretti.
Capsula
È formata da glucuronoxilomannano e galattoxilomannano.
- Evita la fagocitosi mediante meccanismi di repulsione elettrostatica
- Impedisce la formazione di ossido nitrico, tossico per il fungo
- Impedisce l'opsonizzazione
melanina
La sua produzione è catalizza dall'enzima fenol-ossidasi, presente in abbondanza nel lievito.
- Aumenta l'integrità della parete
- Protegge il fungo dallo stress ossidativo
- Permette il mascheramento (molte cellule nervose e della glia esprimono melanina) del fungo all'interno del sistema nervoso centrale. Questo giustifica il tropismo verso le meningi e la sopravvivenza all'interno del tessuto nervoso
Epidemiologia
Cryptococcus neoformans var. neoformans si trova nel terreno arricchito con feci di piccione. Questa variante tende quindi ad infettare soggetti in zone urbane. Cryptococcus neoformans var. gattii è presente nel terreno arricchito da foglie di eucalyptus in decomposizione. Solitamente colpisce contadini, abitanti del luogo o turisti e sostiene una malattia più blanda rispetto a quella sostenuta dalla var. neoformans. Benché siano documentati casi di malattie anche in soggetti sani (soprattutto in coloro che pratico una terapia a base di corticosteroidi), C. neoformans è un patogeno opportunista in soggetti con AIDS aventi un numero di linfociti T CD4 inferiore a 200 unità/mm3. Anche la sarcoidosi e il linfoma di Hodgkin predispongono il soggetto alla criptococcosi. Ogni anno muoiono 13000 persone a causa della criptococcosi.
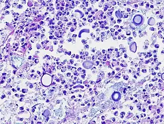
_Alcian_blue-PAS.jpg)
Profilo clinico
La criptococcosi è un'infezione che inizia in sede polmonare; i quadri clinici vanno da una infezione benigna delle prime vie respiratorie ad una polmonite bilaterale gravissima (spesso fatale). L'infezione procede invadendo i linfonodi ilari e poi il torrente ematico; la fungiemia sfocia in quadri drammatici di meningite ed encefalite, con interessamento delle funzioni motorie e cognitive.
Nel 10 - 15% dei soggetti la fungiemia si manifesta con infezioni cutanee disseminate simili al mollusco contagioso.
Profilo diagnostico
Il riscontro di C. neoformans può avvenire tramite l'analisi dell'espettorato o BAL (lavaggio broncoalveolare) lo sputo non è mai un campione desiderato per l'alta contaminazione di organismi commensali. I campioni vanno colorati con colorazione di Giemsa o con inchiostro di china. Entrambe le tecniche (la seconda è più specifica) possono mettere in evidenza gli elementi lievitiformi capsulati.
L'isolamento dei lieviti dal sangue deve avvalersi di opportune tecniche di isolamento (emocoltura). La semina dei vari campioni raccolti deve avvenire in Niger seed agar; le colonie crescono dopo 24 - 48 ore, circondate da un alone nero - marrone. Nel caso di dubbio sulla natura delle colonie, è possibile evidenziare l'attività fenol-ossidasica di C. neoformans. L'analisi sierologica si avvale della ricerca dell'antigene capsulare nel sangue.
Terapia, prevenzione, controllo
Nei soggetti esposti e non immunodepressi la terapia si avvale di amfotericina B in formulazione lipidica intravenosa e flucitosina (formulazione orale) ad alte dosi per 2 settimane (la flucitosina oltrepassa la barriera ematoencefalica ed è particolarmente attiva contro la meningite, di contro questo farmaco non può essere mai utilizzato da solo per la tossicità elevata e la scarsa efficacia nel tempo).
Devono seguire 8 settimane di fluconazolo o itraconazolo. Nei soggetti immunodepressi la terapia con fluconazolo o itraconazolo deve continuare tutta la vita.
Note
Altri progetti
Wikimedia Commons contiene immagini o altri file su Cryptococcus neoformans
Wikispecies contiene informazioni su Cryptococcus neoformans
| Controllo di autorità | Thesaurus BNCF 39724 · LCCN (EN) sh88022039 · GND (DE) 4374348-1 · BNF (FR) cb12484847m (data) · J9U (EN, HE) 987007551243305171 |
|---|
