Esofago
| Esofago | |
|---|---|
![]() | |
| Anatomia del Gray | (EN) Pagina 1144 |
| Nome latino | Oesophagus |
| Sistema | Apparato digerente |
| Localizzazione anatomica | cavità toracica |
| Arteria | Arteria esofagea |
| Vena | Vena esofagea |
| Nervo | Nervo vago, Sistema nervoso simpatico |
| Identificatori | |
| MeSH | A03.556.875.500 |
| TA | A05.4.01.001 |
| FMA | 7131 |
L'esofago è un organo presente nei vertebrati, attraverso il quale passa il cibo, aiutato da contrazioni peristaltiche, dalla faringe allo stomaco. Strutturalmente, l'esofago è un tubo fibromuscolare, impari e mediano, lungo circa 25-30-35 cm e con una larghezza di 2–3 cm negli individui adulti, che si estende dalla faringe allo stomaco. Nel suo decorso passa dietro alla trachea ed al cuore, attraversa il diaframma e sfocia nella regione superiore dello stomaco. Durante la deglutizione, l'epiglottide si inclina all'indietro per evitare che il cibo vada verso la laringe e i polmoni. La parola esofago deriva dal greco e significa "che porta il cibo".
La parete dell'esofago, partendo dal lume verso l'esterno, è costituita da mucosa, sottomucosa (tessuto connettivo), strati di fibre muscolari tra strati di tessuto fibroso ed uno strato esterno di tessuto connettivo. La mucosa è un epitelio squamoso stratificato di circa tre strati composto da cellule squamose, che contrasta al singolo strato di cellule colonnari dello stomaco. La transizione tra questi due tipi di epitelio è visibile come una linea a zig-zag. La maggior parte dello strato muscolare è composta da muscolatura liscia anche se il muscolo striato predomina nella parte superiore. L'esofago possiede due anelli muscolari o sfinteri. Lo sfintere inferiore aiuta a prevenire il reflusso del contenuto acido dello stomaco. L'esofago vanta una ricca fornitura di sangue e di drenaggio venoso. La sua muscolatura liscia è innervata dai nervi involontari (nervi simpatici attraverso il sistema nervoso simpatico e parasimpatico attraverso il nervo vago) e in aggiunta da nervi volontari (motoneurone inferiore) che sono trasportati nel nervo vago per innervare i muscoli striati.
L'esofago può essere affetto dalla malattia da reflusso gastroesofageo, dal cancro, da prominenti dilatazione dei vasi sanguigni chiamati varici che possono sanguinare gravemente, costrizioni e disturbi della motilità. Le malattie possono causare difficoltà di deglutizione (disfagia), deglutizione dolorosa (odinofagia), dolore al torace o essere asintomatiche. Le indagini cliniche includono la radiografia in seguito alla deglutizione di bario, l'endoscopia e la tomografia computerizzata.
Anatomia macroscopica

L'esofago è il segmento del canale alimentare che è interposto tra la faringe e lo stomaco. Impari e paramediano,decorre rettilineo dall'alto verso il basso e leggermente da destra verso sinistra, dalla 6ª vertebra cervicale fino alla 11ª toracica, per una lunghezza complessiva di circa 25 cm, facendo seguito alla faringe e andando a terminare nello stomaco attraverso un orifizio chiamato cardias.
L'esofago presenta lungo il suo decorso tre curvature, di cui una sul piano sagittale e due su quello frontale. Fino alla 4ª vertebra toracica l'esofago segue la convessità anteriore del rachide, discendendo addossato a quest'ultimo e spostandosi lievemente a sinistra rispetto all'asse mediano. A questo punto si distacca dalla colonna, descrivendo una curvatura a convessità posteriore poi, incrociando l'arco aortico, viene deviato più descrivendo prima una leggera curva a concavità destra e immediatamente al di sotto di esso, una seconda più decisa curvatura a sinistra. Il lume esofageo è una cavità virtuale, infatti a riposo presenta una forma stellata per la presenza di pliche longitudinali, ossia sollevamenti della tonaca mucosa e della sottostante sottomucosa. Il lume diventa reale al passaggio del bolo alimentare.
Si tratta del tratto più stretto del canale digerente e nella sua lunghezza presenta quattro restringimenti:
- Il primo è in corrispondenza della sua origine dalla faringe e presso la cartilagine cricoide (cricoideo)
- il secondo nella porzione dove incrocia posteriormente l'arco aortico (aortico)
- il terzo presso il bronco sinistro (bronchiale)
- il quarto nella sua porzione interna al diaframma (diaframmatico).
Negli intervalli tra ciascun restringimento sono presenti dei segmenti dilatati, che prendono il nome di "fuso cricoaortico", "fuso broncodiaframmatico" ed "imbuto precardiale".
L'esofago è divisibile topograficamente, lungo il suo percorso, in un tratto cervicale (4–5 cm), uno toracico (16 cm), uno diaframmatico (1–2 cm) ed uno addominale (3 cm).
Esofago cervicale

La parte cervicale è compresa tra il corpo della 6ª vertebra cervicale e il margine superiore della 2ª toracica. Anteriormente è connessa con la parete membranosa della trachea da tessuto connettivo lasso e da fasci del muscolo tracheoesofageo, solo una parte della faccia anteriore dell'esofago è libera e contrae rapporti con il lobo sinistro della tiroide, il muscolo sternoioideo, lo sternotiroideo e il nervo ricorrente sinistro. Posteriormente è in rapporto con la fascia cervicale profonda, da cui è separato dallo spazio retroesofageo, diretta continuazione dello spazio retrofaringeo, e attraverso essa con la colonna vertebrale; lateralmente con le arterie carotidi comuni destra e sinistra e, solo a destra, con il nervo ricorrente destro.
Tratto mediastinico
Decorre nel mediastino posteriore dalla 2ª toracica fino al diaframma. È diviso in due tratti dall'incrocio con il bronco sinistro:
- Tratto Epibronchiale: in rapporto anteriormente con la trachea e la parte iniziale del bronco sinistro a cui è saldamente unito dal muscolo bronco esofageo, posteriormente con la colonna vertebrale (fino alla 4ª toracica); lateralmente, a destra la pleura mediastinica crea uno spazio tra l'esofago e la vena azigos (interazigosesofageo), che a livello della 4ª toracica descrive un arco in avanti gettandosi nella vena cava superiore, a sinistra invece è in contatto con la pleura mediastinica del polmone sinistro, con l'arco dell'aorta e col tratto iniziale dell'aorta discendente.
- Tratto Ipobronchiale: anteriormente è in rapporto con i linfonodi della biforcazione e con la faccia posteriore del pericardio, posteriormente si distacca dalla colonna vertebrale portandosi in avanti, e dietro l'esofago decorreranno quindi la vena azygos (a destra), l'emiazygos (a sinistra), il dotto toracico e l'aorta discendente; lateralmente trae rapporto con i nervi vaghi che entrando in contatto con la parete esofagea si dividono ciascuno in due rami (anteriore e posteriore), che si riuniscono anteriormente nel tronco comune anteriore, e posteriormente nel tronco comune posteriore.
Parte diaframmatica
Corrisponde al breve tratto che si impegna nell'orifizio esofageo del diaframma (a livello di T10), è a contatto su tutti i lati con il muscolo stesso; talvolta da quest'ultimo si può distaccare un fascetto muscolare che si porta alla parete esofagea, e che prende il nome di "muscolo frenoesofageo".
Parte addominale
Si mette in rapporto anteriormente con la faccia posteriore del lobo sinistro del fegato, posteriormente con l'aorta addominale ed i pilastri mediali diaframmatici, a destra con il lobo caudato del fegato e a sinistra con il fondo dello stomaco. Anche in questo tratto i rami del vago continuano a formare i due tronchi.
Vascolarizzazione
- Arterie: La parte cervicale dell'esofago è vascolarizzata dai rami esofagei dell'arteria tiroidea inferiore sinistra e destra, che distaccatisi dal ramo principale decorrono anteriormente ed inferiormente all'esofago, nello spazio compreso tra questo e la trachea, dove si anastomizzano. La parte toracica è vascolarizzata dai rami bronchiali dell'aorta toracica, che si dipartono dall'aorta subito al di sotto dell'arco aortico, dirigendosi anteriormente alla trachea ed anteriormente all'esofago, e dai rami esofagei dell'aorta, che si dipartono obliquamente tendendo ad abbracciare l'organo. La parte diaframmatica e addominale è vascolarizzata da rami esofagei dell'arteria gastrica sinistra e frenica sinistra, che attraversano il diaframma e si portano anteriormente all'esofago.
- Vene: Il sangue è drenato nella tonaca sottomucosa dell'esofago e poi in plesso periesofageo tributario che dà origine alle vene esofagee, che confluiscono nella vena azygos, la quale decorre verticalmente a destra lungo l'esofago. Alcune vene esofagee drenano nella vena emiazygos, che segue la direzione dell'azygos ma è posta a sinistra, nell'emiazygos accessoria e nelle vene intercostali anteriori e posteriori (rami laterali dell'emiazygos e dell'azygos) che seguono l'andamento delle coste. Le vene della parte cervicale dell'esofago confluiscono nella vena tiroidea inferiore, ramo della vena cava superiore. Le vene esofagee addominali confluiscono nella vena gastrica sinistra a livello dell'apertura esofagea inferiore, poi drenano nella vena porta.
- Linfatici: drenano ai linfonodi cervicali profondi, paratracheali, mediastinici posteriori e gastrici superiori.
Innervazione
L'innervazione è costituita da plessi nervosi autonomi metasimpatici localizzati nello strato sottomucoso (plesso di Meissner) e in quello muscolare (plesso di Auerbach). L'innervazione parasimpatica è fornita dal nervo vago e dai nervi laringei ricorrenti. L'innervazione ortosimpatica è data dai gangli cervicali e toracici del ganglio celiaco.
Anatomia microscopica

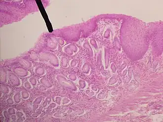
Le pareti dell'esofago sono formate da strati, o tonache, sovrapposte: mucosa, sottomucosa, tonaca muscolare e tonaca avventizia. La mucosa esofagea è uno strato spesso, di colore grigio-rosato o rossastro nella giunzione gastro-esofagea; a riposo presenta numerosi solchi e creste, tali da occluderne il lume. Si tratta però di modificazioni temporanee della mucosa esofagea che scompaiono quando questa è distesa, per esempio durante il passaggio del bolo alimentare. In sezione trasversale, il lume esofageo appare stellato in stato di deplezione.
L'epitelio della mucosa esofagea è pavimentoso pluristratificato, non cheratinizzato e continuo con quello della faringe. Ha uno spessore di 400-500 µm, ed è interdigitato con la lamina propria sottostante. Ciò lo rende facilmente distinguibile da questa e permette una migliore adesione dei due strati tissutali, che non si modificano in stato di contrazione o distensione. Gli strati più superficiali presentano cellule squamose ed appiattite, provviste di nucleo cellulare tondeggiante, nel cui citoplasma sono presenti filamenti di cheratina e scarsi granuli di cheratoialina.
Le cellule epiteliali sono unite alla lamina basale (che divide l'epitelio dalla lamina propria) mediante emidesmosomi e mediante desmosomi alle altre cellule.
La mucosa è costituita da tre strati: epitelio di rivestimento (di tipo pavimentoso stratificato non cheratinizzato), tonaca propria e muscularis mucosae.
Lo strato più esterno della parete esofagea è muscolare (muscularis propriae), ed è costituito da fibre muscolari di tipo striato (volontarie) nel terzo superiore, da fibre muscolari lisce (involontarie) nel terzo inferiore mentre nel terzo medio la muscolatura è mista in quanto sia ha il passaggio da un tipo all'altro. Per tutta la lunghezza comunque le fibrocellule muscolari sono organizzate in due strati: uno con fibre ad andamento circolare (più interno) ed uno con fibre ad andamento longitudinale (più esterno); durante la deglutizione questi muscoli si contraggono, spingendo il cibo nello stomaco (peristalsi). Nello strato intermedio, invece, si trovano le ghiandole esofagee (ghiandole cardiali), che versano la loro secrezione nel lume dell'esofago. Questo secreto permette di mantenere umido l'esofago. Tra le fibrocellule muscolari lisce sono presenti fibre nervose appartenenti al plesso mioenterico dell'Auerbach che stimola la peristalsi esofagea. La sottomucosa presenta connettivo lasso con ghiandole tubuloacinose ramificate mucose e fibre nervose del plesso del Meissner che regolano la secrezione ghiandolare e la motilità della muscolaris mucosae. La lamina propria è riccamente vascolarizzata e si solleva in pieghe.
Funzione
Deglutizione
Il cibo viene ingerito attraverso la bocca per poi passare, quando ingerito, prima nella faringe e poi nell'esofago. L'esofago è quindi uno dei primi componenti dell'apparato digerente e del tratto gastrointestinale. Dopo averlo attraversato, il cibo arriva dentro lo stomaco.[1] Quando il cibo viene ingerito, l'epiglottide si muove all'indietro allo scopo di coprire la laringe, impedendo così che il cibo possa entrare nella trachea. Allo stesso tempo, lo sfintere esofageo superiore si rilassa, permettendogli di entrare. Le contrazioni peristaltiche del muscolo esofageo spingono il bolo alimentare verso il basso dell'esofago. Queste contrazioni ritmiche si verificano, sia come risposta riflessa al cibo che è in bocca, ma anche come risposta alla sensazione di cibo all'interno dell'esofago stesso. Insieme con la peristalsi, anche lo sfintere esofageo inferiore si rilassa.[1]
Riduzione del reflusso gastrico
Lo stomaco produce succo gastrico, una miscela fortemente acida costituita da acido cloridrico (HCl) e sali di potassio e di sodio, che consente la digestione del cibo. La costrizione degli sfinteri esofagei superiore e inferiore aiutano a prevenire il reflusso del contenuto gastrico e dell'acido verso l'esofago, proteggendo la sua mucosa. Inoltre, l'angolo acuto di His e la crura inferiore del diaframma aiutano questa azione sfinterica.[1][2]
Patologie
Infiammazione
L'infiammazione dell'esofago è nota come esofagite. Essa può essere causata dal reflusso degli acidi gastrici dallo stomaco, da infezioni, da sostanze ingerite (per esempio agenti corrosivi), da alcuni farmaci (come i bisfosfonati) e da allergie alimentari. La candidiasi esofagea è un'infezione dovuta a candida albicans che può verificarsi quando una persona è immunodepressa. Al 2014, la causa di alcune forme di esofagite, come l'esofagite eosinofila, non è nota. L'esofagite può causare dolore nella deglutizione e di solito viene trattata gestendo la causa dell'esofagite stessa.[3]
Esofago di Barrett
Si ritiene che una condizione prolungata di esofagite, in particolare dovuta al reflusso gastrico, sia un fattore importante nello sviluppo dell'esofago di Barrett. In questa condizione, si riscontra una metaplasia della mucosa dell'esofago inferiore, che cambia da epitelio stratificato squamoso a semplice epitelio colonnare. Si pensa che l'esofago di Barrett possa essere una delle cause principali per lo sviluppo del tumore esofageo.[3]
Tumore
Vi sono due tipi principali di tumore dell'esofago. Il carcinoma a cellule squamose è un tumore che origina dalle cellule squamose che rivestono l'esofago ed è molto comune in Cina e in Iran. L'altra tipologia principale è l'adenocarcinoma, una neoplasia che si verifica nelle ghiandole o nel tessuto colonnare. Questo è più comune nei paesi sviluppati e nei pazienti sofferenti di esofago di Barrett.[3]
Nelle sue prime fasi, il tumore esofageo può essere asintomatico, ovvero non presentare alcun sintomo particolare. Nelle situazioni più avanzate e gravi, può causare un'ostruzione dell'esofago, rendendo difficoltosa l'ingestione di alimenti solidi e causando, di conseguenza, una perdita di peso. La progressione del tumore viene misurata con un sistema di classificazione che considera la sua dimensione e l'estensione oltre la parte esofagea, il numero di linfonodi interessati e se vi sia la presenza di metastasi in altre parti del corpo. Il tumore esofageo viene frequentemente trattato facendo ricorso alla radioterapia e alla chemioterapia, anche se talvolta si può procedere con una parziale rimozione chirurgica dell'esofago stesso. L'inserimento in esofago di uno stent (per garantire la pervietà del lume) o di un sondino nasogastrico (per sostenere l'alimentazione) può essere necessario affinché il paziente possa assumere una sufficiente quantità di cibo e di liquidi. Al 2014, la prognosi del tumore esofageo risulta essere ancora molto spesso nefasta, pertanto la cura palliativa può essere un valido trattamento.[3]
Varici
Le varici esofagee sono rami contorti e gonfi della vena azygos, nel terzo inferiore dell'esofago. Questi vasi sanguigni si uniscono con quelli della vena porta quando si verifica ipertensione portale[4] apparendo più gonfi del normale e, nei casi peggiori, possono coprire parzialmente l'esofago. Essi si sviluppano come parte di una circolazione collaterale che si instaura per drenare il sangue dall'addome in seguito a ipertensione portale, di solito come conseguenza di malattie epatiche come la cirrosi epatica.[3] Questa circolazione collaterale si verifica perché vi è un minore drenaggio dall'esofago verso la vena gastrica sinistra, che è un ramo della vena porta. Per via del vasto plesso venoso che esiste tra questa vena e le altre vene, se si verifica ipertensione portale, quest'ultime possono congestionarsi e portare alla formazione di varici.[5][6]
Spesso le varici esofagee non hanno sintomi fino a quando non vi sia la rottura. Una varice rotta è considerata un'emergenza medica, poiché possono sanguinare molto. Un'emorragia da una varice rotta può indurre una persona a vomitare sangue, fino ad andare in shock ipovolemico. Per trattare al rottura delle varici rottura, può essere collocata una banda intorno al vaso sanguigno sanguinante o iniettata una piccola quantità di un agente coagulante vicino punto di rottura. Un chirurgo può anche tentare di utilizzare un palloncino gonfiabile per applicare pressione al fine di fermare il sanguinamento. La somministrazione di liquidi per via endovenosa e trasfusioni di sangue possono essere necessarie per prevenire l'ipovolemia causata dall'eccessiva perdita di sangue.[3]
Disturbi della motilità
Diversi disturbi possono influenzare la motilità del cibo mentre viaggia verso la parte inferiore dell'esofago. Ciò può causare difficoltà nella deglutizione, chiamata disfagia, o deglutizione dolorosa, chiamato odinofagia. Con il termine di acalasia ci si riferisce ad un disturbo motorio primario caratterizzato dalla progressiva riduzione della peristalsi esofagea accompagnata dall'incapacità dello sfintere esofageo inferiore di rilassarsi adeguatamente, una condizione che in assenza di patologia generalmente si sviluppa più tardi nella vita. Questo porta ad un progressivo allargamento dell'esofago, e possibilmente ad un'eventuale condizione di megaesofago. La peristalsi esofagea sintomatica è una situazione patologica in cui la deglutizione può essere estremamente dolorosa, mentre lo spasmo esofageo diffuso è uno spasmo dell'esofago che può essere causa di dolore toracico. La sclerosi dell'esofago, come si verifica ad esempio nella sclerosi sistemica o nella sindrome CREST, può causare indurimento delle pareti dell'esofago e interferire con la peristalsi.[3]
Malformazioni
Le stenosi esofagee sono solitamente benigne e tipicamente si sviluppano dopo che una persona ha sofferto per molti anni da riflusso. Altre stenosi possono essere causate da membrane esofagee (una condizione che può essere congenita) e danni all'organo dovuti alla radioterapia, all'ingestione di agenti corrosivi o a causa dell'esofagite eosinofila. Un anello di Schatzki è una fibrosi a livello della giunzione gastro-esofagea. Le stenosi possono anche svilupparsi con l'anemia cronica e con la sindrome di Plummer-Vinson.[3]
Due delle malformazioni congenite più comuni che colpiscono l'esofago sono l'atresia esofagea e una connessione anormale (fistola) tra l'esofago e la trachea conosciuta come una fistola tracheoesofagea. Esse si verificano in circa una nascita su 3500.[7] La metà di questi casi può essere parte di una sindrome in cui sono presenti altre anomalie, in particolare del cuore o agli arti. Altri casi si verificano singolarmente.[8]
Tecniche diagnostiche

Una radiografia effettuata dopo aver ingerito bario come mezzo di contrasto, può essere utilizzata per rivelare la dimensione e la forma dell'esofago, oltre alla presenza di eventuali masse. L'esofago può anche essere ripreso con una telecamera flessibile inserita in esso, in una procedura chiamata "endoscopia". Nel corso di una endoscopia, può essere effettuata una biopsia sul tessuto. Se viene sospettato un tumore dell'esofago, si può fare ricorso ad altre tercniche di imaging biomedico più avanzate, tra cui la tomografia computerizzata e la tomografia a emissione di positroni.[3]
Storia
La parola "esofago" deriva dal greco: οἰσοφάγος (oisophagos) che significa "gola". Esso deriva da due radici (eosina) per trasportare e (phagos) per mangiare.[9] L'uso della parola esofago è stato documentato in letteratura anatomica almeno dal tempo di Ippocrate, il quale osservò che "l'esofago ... riceve la maggior quantità di ciò che consumiamo".[10] La sua esistenza in altri animali e il suo rapporto con lo stomaco è stata descritta dal naturalista romano Plinio il Vecchio (23 a.C.-79 d.C.),[11] mentre le contrazioni peristaltiche dell'esofago sono conosciute almeno dal tempo di Galeno.[12]
Il primo tentativo di intervento chirurgico sull'esofago si è concentrato nel collo, ed è stato condotto su dei cani da parte di Theodore Billroth nel 1871. Nel 1877 Vincenz Czerny ha effettuato un intervento chirurgico su una persona umana. Nel 1908, Voeckler rimosse per la prima volta l'esofago e, nel 1933, venne condotta, per il controllo del cancro esofageo, la prima rimozione chirurgica di parzioni dell'esofago inferiore.[13]
Il fundoplicatio secondo Nissen-Rossetti, in cui lo stomaco viene avvolto intorno allo sfintere esofageo inferiore per stimolare la sua funzione e controllare di riflusso, è stata eseguita da Rudolph Nissen nel 1955.[13]
Note
- ^ a b c Arthur C. Guyton, John E. Hall, Textbook of medical physiology, 11th, Philadelphia, W.B. Saunders, 2005, pp. 782-784, ISBN 978-0-7216-0240-0.
- ^ Neuromuscular Anatomy of Esophagus and Lower Esophageal Sphincter - Motor Function of the Pharynx, Esophagus, and its Sphincters - NCBI Bookshelf, su ncbi.nlm.nih.gov, 25 marzo 2013. URL consultato il 24 aprile 2013.
- ^ a b c d e f g h i Nicki R. Colledge, Brian R. Walker e Stuart H. Ralston (a cura di), Davidson's Principles and Practice of Medicine, illust. Robert Britton, 21st, Edinburgh, Churchill Livingstone/Elsevier, 2010, pp. 838-870, ISBN 978-0-7020-3084-0.
- ^ Daniel Albert[et al.], Dorland's illustrated medical dictionary., 32nd, Philadelphia, PA, Saunders/Elsevier, 2012, p. 2025, ISBN 978-1-4160-6257-8.
- ^ Braden Kuo e Daniela Urma, Esophagus - anatomy and development, in GI Motility online, 2006.
- ^ MG Patti, Gantert, W e Way, LW, Surgery of the esophagus. Anatomy and physiology., in The Surgical clinics of North America, vol. 77, n. 5, Oct 1997, pp. 959-70, DOI:10.1016/s0039-6109(05)70600-9, PMID 9347826.
- ^ C Shaw-Smith, esophageal atresia, tracheo-esophageal fistula, and the VACTERL association: review of genetics and epidemiology, in Journal of Medical Genetics, vol. 43, n. 7, 18 novembre 2005, pp. 545-54, DOI:10.1136/jmg.2005.038158, PMC 2564549, PMID 16299066.
- ^ D Geneviève, L de Pontual, J Amiel, S Sarnacki e S Lyonnet, An overview of isolated and syndromic oesophageal atresia., in Clinical genetics, vol. 71, n. 5, maggio 2007, pp. 392-9, DOI:10.1111/j.1399-0004.2007.00798.x, PMID 17489843.
- ^ Douglas Harper, Esophagus, su Etymology Online. URL consultato il 19 marzo 2014.
- ^ Hippocrates ;edited Potter, translated by Paul, Coan prenotions., 1. publ., Cambridge, Mass., Harvard University Press, 2010, p. 59, ISBN 0-674-99640-2.
- ^ John; Riley, Henry T.; Pliny the Elder Bostock, The natural history of Pliny, London, H. G. Bohn, 1855, p. 64.
- ^ Galen ; with an English translation by Arthur John Brock, On the natural faculties, Repr., London, W. Heinemann, 1916, p. "Book 3" S8, ISBN 978-0-674-99078-4.
- ^ a b Jeffrey A. Norton (a cura di), Surgery : basic science and clinical evidence, 2nd, New York, NY, Springer, 2008, pp. 744–746, ISBN 978-0-387-30800-5.
Bibliografia
- (EN) Arthur C. Guyton, John E. Hall, Textbook of medical physiology, 11th, Philadelphia, W.B. Saunders, 2005, ISBN 978-0-7216-0240-0.
- (EN) Nicki R. Colledge, Brian R. Walker e Stuart H. Ralston (a cura di), Davidson's Principles and Practice of Medicine, illust. Robert Britton, 21st, Edinburgh, Churchill Livingstone/Elsevier, 2010, ISBN 978-0-7020-3084-0.
- (EN) Daniel Albert[et al.], Dorland's illustrated medical dictionary., 32nd, Philadelphia, PA, Saunders/Elsevier, 2012, ISBN 978-1-4160-6257-8.
Voci correlate
- Carcinoma dell'esofago
- Diverticolo esofageo
- Esofagite
- Gastroscopia
- Manometria esofagea
- Sfintere esofageo superiore
- Sfintere esofageo inferiore
Altri progetti
Wikiquote contiene citazioni sull'esofago
Wikizionario contiene il lemma di dizionario «esofago»
Wikimedia Commons contiene immagini o altri file sull'esofago
Collegamenti esterni
- esofago, su Treccani.it – Enciclopedie on line, Istituto dell'Enciclopedia Italiana.
- (EN) esophagus, su Enciclopedia Britannica, Encyclopædia Britannica, Inc.
- Esofago, in Treccani.it – Enciclopedie on line, Roma, Istituto dell'Enciclopedia Italiana.
| Controllo di autorità | Thesaurus BNCF 4829 · LCCN (EN) sh85044855 · GND (DE) 4056119-7 · BNE (ES) XX530237 (data) · BNF (FR) cb119328872 (data) · J9U (EN, HE) 987007553179205171 · NDL (EN, JA) 00572160 |
|---|
