Infarto

Un infarto è la necrosi di un tessuto per ischemia, cioè insufficiente flusso sanguigno.
I sintomi sono diversi a seconda dell'organo interessato, tuttavia il sintomo principale è rappresentato da dolore acuto di varia intensità (ad insorgenza improvvisa); è però possibile che l'infarto sia clinicamente asintomatico, soprattutto qualora sia di dimensioni molto piccole.
Il più frequente fra tutti è quello del miocardio, tanto che l'uso della parola "infarto" indica comunemente quello cardiaco.
Etimologia
Dal latino infartus, participio passato di infarcire, "infarcire".
Eziopatogenesi
La sindrome acuta è provocata da una insufficiente irrorazione sanguigna ad un organo o a parte di esso, per una occlusione arteriosa improvvisa o per una stenosi critica delle arterie che portano il sangue in quel distretto dell'organismo.
La causa è costituita nella maggior parte dei casi dall'aterosclerosi. Quando vanno incontro ad ulcerazione, le placche aterosclerotiche possono provocare occlusione arteriosa acuta, sia attraverso la formazione di emboli sia attraverso la trombosi sovrapposta all'ulcerazione.
Quadri clinici
L'infarto miocardico (dove l'organo interessato è il cuore) e l'infarto cerebrale, responsabile dell'80% dei casi di ictus, sono le più frequenti cause di morte nei paesi occidentali; questi due organi sono i più suscettibili poiché possiedono circolazioni terminali, e quindi in caso di ostruzione di un vaso afferente non possono sopperire la mancanza di sangue attraverso altri vasi anastomotici; altre tipologie di infarto sono invece relativamente rare, poiché molti distretti sono irrorati da più arterie, che permettono al vaso non interessato di supplire efficacemente al deficit nutritizio. Nel fegato, per esempio, l'85% del flusso nutritizio è trasportato dalla vena porta, mentre l'arteria epatica contribuisce per il 15%; un'ostruzione di quest'ultima non provoca quindi un infarto del tessuto da essa irrorato.
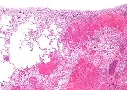
Grossolanamente si può distinguere tra "infarto bianco", ovvero di natura puramente ischemica, e "infarto rosso", cioè seguito da stravaso di sangue conseguente alla necrosi dei vasi sanguigni della zona interessata.
Altre forme comuni sono l'infarto intestinale, infarto osseo, infarto polmonare.
Voci correlate
Altri progetti
Wikizionario contiene il lemma di dizionario «infarto»
Wikimedia Commons contiene immagini o altri file sull'infarto
Collegamenti esterni
- (EN) infarction, su Enciclopedia Britannica, Encyclopædia Britannica, Inc.
| Controllo di autorità | Thesaurus BNCF 13179 · LCCN (EN) sh85066075 · BNF (FR) cb11932105z (data) · J9U (EN, HE) 987007548356105171 |
|---|