Diffusione (RMN)

In risonanza magnetica, la diffusione è un parametro utilizzato per produrre immagini di risonanza basate sui movimenti microscopici delle molecole di acqua.
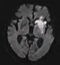
Le immagini pesate in diffusione (DWI, dall'inglese diffusion weighted imaging) evidenziano le variazioni della mobilità dei protoni dell'acqua in un tessuto biologico. In queste immagini, strutture con diffusione "normale" sono convenzionalmente rappresentate più scure, perché sostanzialmente il segnale di risonanza è più attenuato ("abbattuto"), mentre laddove la velocità di diffusione è minore ("ristretta"), come nell'ischemia per esempio, vengono rappresentate più chiare.
Applicazioni
Rispetto alla RMN tradizionale la tecnica DWI si è dimostrata più sensibile nel valutare in acuto l'entità dei danni da edema dovuto ad un episodio cerebrovascolare, anche prima della TC.
La DWI è anche sensibile ad altre alterazioni edemigene e anche di tipo tumorale anche in altri tessuti, come il fegato, per esempio. Il substrato biologico che giustifichi la positività in DWI in queste diverse realtà patologiche non è ancora stato chiarito. Sembra in relazione all'ipercellularità di alcuni tumori. Per quanto riguarda l'ictus cerebrale è correlato all'insulto assonale: l'assone perde infatti la propria morfologia, formandosi lungo il suo decorso delle varicosità (assone a corona di rosario) che ben correlano con la restrizione della diffusione delle molecole d'acqua. Tale dato è confermato anche da modelli animali e matematici.[1] [2]
Note
- ^ Budde MD, Frank JA. Neurite beading is sufficient to decrease the apparent diffusion coefficient after ischemic stroke. Proc Natl Acad Sci U S A. 2010 Aug 10;107(32):14472-7. Epub 2010 Jul 26.
- ^ Hasbani MJ, Schlief ML, Fisher DA, Goldberg MP. Dendritic spines lost during glutamate receptor activation reemerge at original sites of synaptic contact. J Neurosci. 2001 Apr 1;21(7):2393-403.
Voci correlate
- Diffusione molecolare
- Moto browniano
- Imaging a risonanza magnetica
- Imaging con tensore di diffusione
Altri progetti
Wikimedia Commons contiene immagini o altri file su imaging con tensore di diffusione
| Controllo di autorità | Thesaurus BNCF 70420 · LCCN (EN) sh2005006810 · GND (DE) 1023709775 · J9U (EN, HE) 987007530662705171 |
|---|