Volvolo
| Volvolo | |
|---|---|
| Specialità | gastroenterologia e chirurgia generale |
| Classificazione e risorse esterne (EN) | |
| MeSH | D045822 |
| eMedicine | 930576 |
Per volvolo (dal latino volvere: arrotolare, avvolgere intorno) si intende una grave patologia chirurgica, non molto frequente, caratterizzata dalla torsione su sé stesso di un viscere tubulare o di un suo segmento. Colpisce alcuni distretti dell'apparato digerente, in particolare il sigma, perché più predisposto in quanto mobile e a volte particolarmente lungo (dolicosigma) e poi, in ordine decrescente le anse intestinali, la flessura splenica del colon e ancor più raramente lo stomaco.
Sintomi
La presenza di un volvolo comporta un'occlusione intestinale e una necrosi ischemica dell'organo per strozzamento dei vasi sanguigni contenuti nel suo mesentere e si manifesta in genere con i segni di un'occlusione meccanica complicata.
Diagnosi

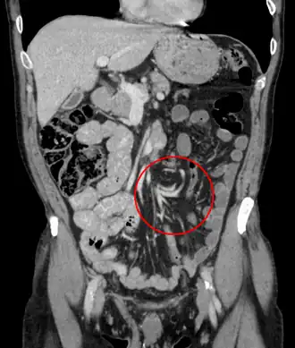
La diagnosi è legata al quadro clinico che per la sua drammaticità (dolore intenso e segni di peritonite) assume i caratteri propri di un addome acuto, situazione che impone un intervento laparotomico urgente. Possono servire a confortare la diagnosi le indagini radiografiche, esame diretto dell'addome e un esame TC dell'addome e della pelvi, che servono a evidenziare in generale il grado e il livello dell'occlusione e in alcuni casi possono permettere anche l'individuazione della causa (segni particolari del volvolo) e quelle ecografiche che possono evidenziare una raccolta di liquido endoperitoneale.
Trattamento
Il trattamento è chirurgico e deve essere praticato il più precocemente possibile. Individuato il segmento interessato dal volvolo, che si presenta di colore violaceo o nerastro, edematoso e dilatato si pratica una semplice derotazione dello stesso. Successivamente occorre accertarsi della vitalità del viscere nel quale deve riprendere l'attività peristaltica e deve ritornare il colorito normale. In tal caso si conclude l'intervento apponendo dei punti che fissino il segmento intestinale in modo da evitare recidive. In mancanza di segni di ripresa della vitalità dell'organo si procede a resezione dello stesso con ricostruzione anastomotica immediata.
Voci correlate
Altri progetti
Wikimedia Commons contiene immagini o altri file su volvolo
Collegamenti esterni
- (EN) volvulus, su Enciclopedia Britannica, Encyclopædia Britannica, Inc.
| Controllo di autorità | Thesaurus BNCF 42042 · LCCN (EN) sh85144380 · J9U (EN, HE) 987007546380105171 |
|---|